Tag: saluteorale
-
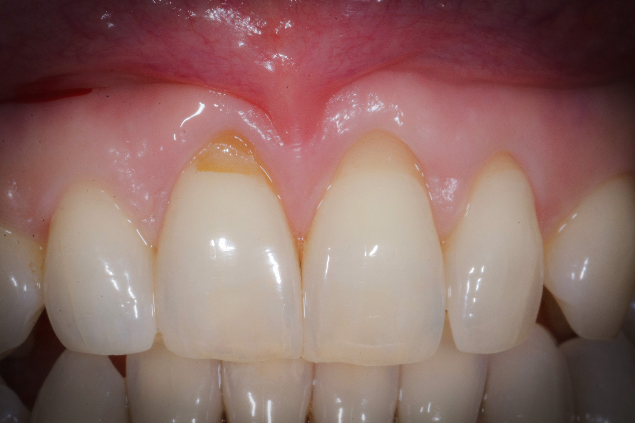
Quando occorre un innesto gengivale e quando no?
Questo tipo di trattamento è spesso frainteso come avente un’esclusiva finalità estetica. Certamente può averla, ma più spesso la motivazione è quella di impedire l’aggravarsi della condizione clinica parodontale, e […]
-
La storia di Francesco
Francesco, costretto al servizio militare, subisce una serie di estrazioni dentali per cercare evitare l’arruolamento. Diventa invece un soldato e, grazie a un medico militare, riceve una protesi che migliora la sua vita. Negli anni affronta diversi problemi dentali, ma con un approccio rigenerativo risolve la situazione, ritrovando vitalità e soddisfazione.
-
La storia di un amico: come sostituire una protesi su impianti che non regge più.
Quando si diventa anziani? I motivi sono molteplici. Sicuramente uno di essi è il non riuscire a usare la bocca per mangiare in modo efficiente e senza dolore. E non […]
-
Baci che Trasmettono Batteri Patogeni
Baci e salute dentale: 80 milioni di batteri in 10 secondi. Guida scientifica per prevenire carie e malattie gengivali nella coppia. Leggi ora!





Devi effettuare l'accesso per postare un commento.