Surgical Treatment of Peri-Implantitis with the TST Technique
Leggi in Italiano
At a glance — Severe peri-implantitis at implant site 1.2 with adjacent periodontitis: combined single-session surgical treatment using TST decontamination (HybenX + air polishing) and guided bone regeneration with xenograft and porcine cortical lamina. Two-year radiographic follow-up showing documented bone fill. Clinical case by Dr. Marianna De Nale.
This case demonstrates how thorough decontamination of a peri-implantitis-affected implant surface, followed by bone regeneration, lays the groundwork for complete restitutio ad integrum.
The clinical picture
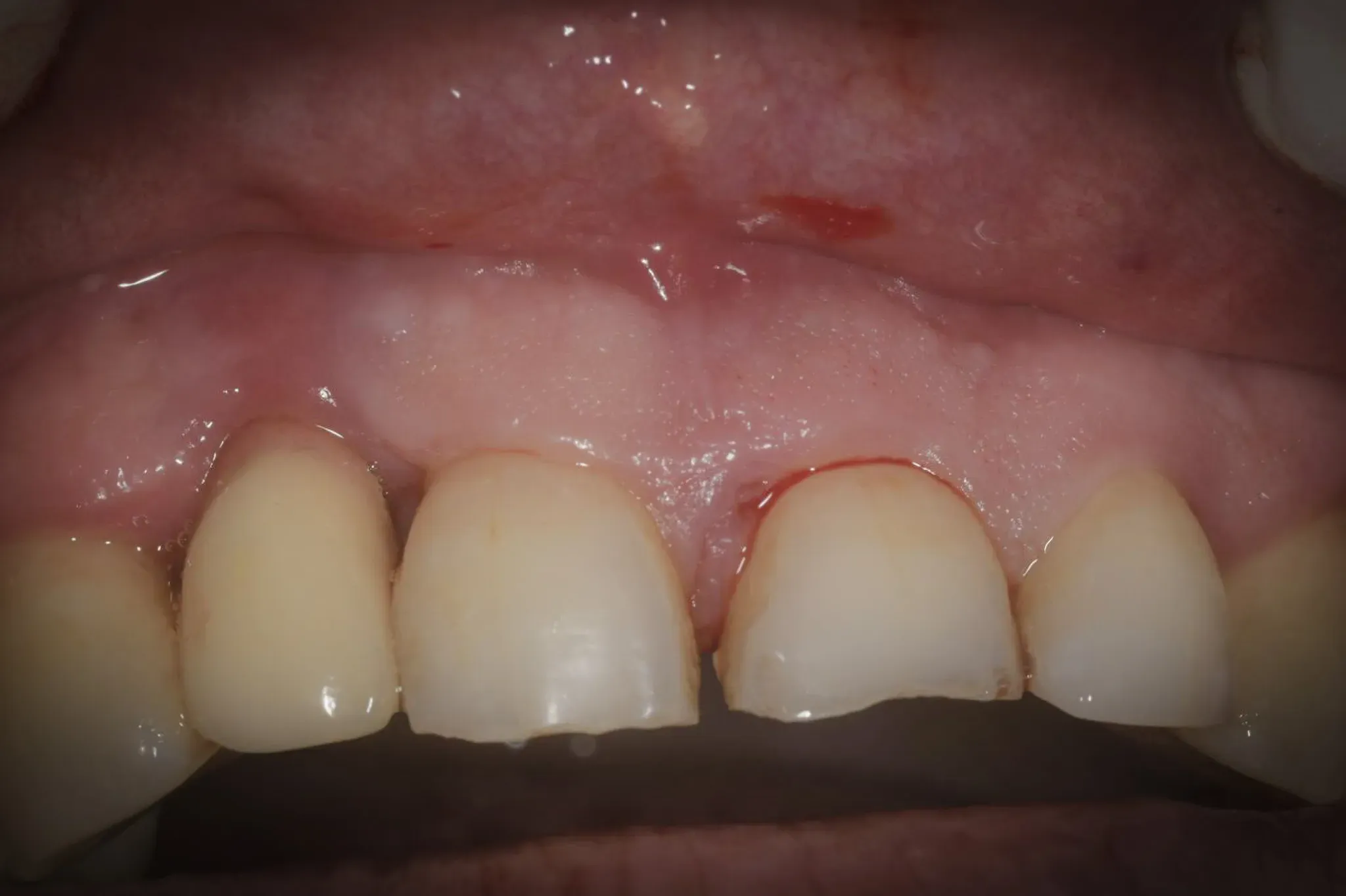
Implant at position 1.2. Advanced peri-implantitis: crater-shaped defect, buccal cortical dehiscence, bone loss of approximately 40% of implant length. The adjacent teeth showed advanced periodontal lesions. The challenge was not just decontaminating the implant — it was treating the entire sector in a single surgical session without compromising the regenerative potential of the adjacent teeth.

Decontamination: two different rules for two different surfaces
Full-thickness flap. The bone defect is exposed.
On the implant, the TST protocol is applied — the Ten Second Technique: HybenX for 10 seconds on the contaminated implant surface, followed by air polishing with sodium bicarbonate. The chemical reaction is visible to the naked eye: a white precipitate on the titanium surface, the protocol’s signature. The TST was published in Scientific Reports by De Nale et al. [1] — an in vitro study on failed explanted implants demonstrated through SEM and EDX that the technique effectively removes biofilm without altering the implant surface.
The key point is differentiation. On adjacent natural teeth, no HybenX. Only mechanical scaling and air polishing with bicarbonate. Because root cementum is not titanium. Residual periodontal ligament cells are an irreplaceable biological resource — destroying them would compromise any regenerative potential.

Regeneration
After decontamination, the defect is filled with collagenated porcine xenograft mixed with fibrin glue (Tisseel). Fibrin glue is not a technical luxury: it stabilises the granules, promotes clot adhesion, and keeps the biomaterial in place during the critical early healing phases.

As coverage: a 0.5 mm porcine cortical bone lamina, serving as a semi-rigid barrier. Its role is twofold — space maintenance and protection of the underlying clot. Not a conventional resorbable membrane, but a structure offering mechanical resistance during the weeks when soft tissue tends to collapse into the defect.
The cortical lamina is also stabilised with fibrin glue.

Two years later
Periapical radiographs show documented bone fill in the peri-implant defect. No progression of bone loss. The implant remains in function.
What this case demonstrates
That biological decontamination of the implant surface — without aggressive mechanical instrumentation — can be compatible with guided bone regeneration. That implant and adjacent teeth can be treated in the same session, provided the biology of each surface is respected. That the TST, a rapid and chemically defined protocol, deserves clinical attention.
Recent literature confirms that surgical treatment of peri-implantitis requires an integrated approach: effective decontamination, regeneration when defect morphology allows it, and a rigorous maintenance programme [2]. There is no universal protocol — only the ability to adapt the strategy to the case.
Implant surface decontamination remains the central challenge of every peri-implantitis treatment. The TST offers a solution that respects both the titanium and the surgeon’s time.
Frequently asked questions
What is the TST (Ten Second Technique)? It is an implant surface decontamination protocol involving a 10-second application of HybenX followed by air polishing with sodium bicarbonate. The goal is biofilm removal without damaging the titanium surface through aggressive mechanical instrumentation.
Can the TST be used on natural teeth? No. On adjacent natural teeth, only scaling and air polishing with bicarbonate are used, without HybenX. This preserves residual periodontal ligament cells and the regenerative potential of root cementum.
What materials are used for regeneration after TST decontamination? In this case: collagenated porcine xenograft mixed with fibrin glue (Tisseel), covered by a 0.5 mm porcine cortical bone lamina as a semi-rigid barrier for space maintenance and clot protection.
Is there scientific evidence supporting the TST? Yes. The technique was published in Scientific Reports (Nature) in 2025 by De Nale et al. The in vitro study demonstrated TST efficacy in implant surface decontamination through SEM and EDX analysis.
Can peri-implantitis and periodontitis be treated in the same surgical session? Yes. As demonstrated in this case, combined treatment in a single session is feasible, provided the decontamination protocol is differentiated between implant and natural tooth surfaces.
Clinical case by Dr. Marianna De Nale — Private practice, Padova, Italy.
References
- De Nale M, Dalla Corte L, Bruschi E, Visentin F. An in vitro study exploring a new method for managing peri-implant disease using the ten second technique. Sci Rep. 2025;15(1):24870. DOI: 10.1038/s41598-025-08946-8
- Hong I, Koo KT, Oh SY, et al. Comprehensive treatment protocol for peri-implantitis: an up-to-date narrative review. J Periodontal Implant Sci. 2024;54(5):295-308. DOI: 10.5051/jpis.2303360168
FAQ
- What is the TST (Ten Second Technique)?
- It is an implant surface decontamination protocol involving a 10-second application of HybenX followed by air polishing with sodium bicarbonate. The goal is biofilm removal without damaging the titanium surface through aggressive mechanical instrumentation.
- Can the TST be used on natural teeth?
- No. On adjacent natural teeth, only scaling and air polishing with bicarbonate are used, without HybenX. This preserves residual periodontal ligament cells and the regenerative potential of root cementum.
- What materials are used for regeneration after TST decontamination?
- In this case: collagenated porcine xenograft mixed with fibrin glue (Tisseel), covered by a 0.5 mm porcine cortical bone lamina as a semi-rigid barrier for space maintenance and clot protection.
- Is there scientific evidence supporting the TST?
- Yes. The technique was published in Scientific Reports (Nature) in 2025 by De Nale et al. The in vitro study demonstrated TST efficacy in implant surface decontamination through SEM and EDX analysis.
- Can peri-implantitis and periodontitis be treated in the same surgical session?
- Yes. As demonstrated in this case, combined treatment in a single session is feasible, provided the decontamination protocol is differentiated between implant and natural tooth surfaces.
References
Looking for a specialist?
Implantologia a Frosinone →Impianti dentali, carico immediato e rigenerazione ossea
Need a professional opinion?
Book an appointment at Dr. Bruschi's practice in Frosinone. First visit includes full diagnosis and personalised treatment plan.
Stai valutando un impianto dentale?
Ho scritto una guida in 8 capitoli che spiega tutto quello che un paziente dovrebbe sapere prima di sedersi in poltrona. Niente marketing — solo fatti, casi studio e una checklist per fare le domande giuste.
Scarica la guidaStay Updated
New articles on periodontology, implantology and oral surgery — delivered to your inbox.
Comments
Loading comments...
Leave a comment