Quando le Gengive Fanno Male Davvero: la GUNA

Dr. Ernesto Bruschi · · Aggiornato il · 7 min di lettura
Quando le Gengive Fanno Male Davvero: la GUNA

In breve — La GUNA è un’infezione acuta dolorosa dove le gengive bruciano, sanguinano e presentano papille mozzate. È una disbiosi legata allo stress che si cura con rimozione del tessuto malato e terapia antibiotica mirata.

Summary (EN) — GUNA is an acute, painful gum infection with burning sensations, bleeding, and necrotized interdental papillae. It’s a dysbiosis linked to stress, treated with careful tissue debridement and targeted antibiotic therapy.

L’acronimo sta per Gengivite Ulcero-Necrotizzante Acuta. Altri nomi sono gengivite ulcero-necrotica, stomatite di Vincent.

Con un nome così dev’essere per forza una cosa grave. E lo è, infatti.

A volte il dolore in bocca è qualcosa che si può ignorare e rinviare. Spesso, è solo un fastidio passeggero. Anzi, nella gran maggioranza dei casi è del tutto assente anche in caso di gravi infezioni come la parodontite. E la diagnosi arriva spesso come una sorpresa durante un controllo di routine.

"Ma come dottore? Io non sento assolutamente nulla." è la tipica reazione di chi non si aspetta di avere un problema infettivo.

Questo volta no.

Chi ne soffre lo sa subito: le gengive bruciano, sanguinano al minimo tocco, e c’è un sapore metallico che non va mai via.

Come mai il sapore metallico? Quando le gengive sanguinano, il ferro contenuto nell’emoglobina entra in contatto con i recettori del gusto. Il ferro ha un sapore caratteristico, che noi riconosciamo come “metallico”. È lo stesso sapore che si sente mordendo accidentalmente la lingua o l’interno della guancia.

Poi arriva l’alito cattivo. Non è qualcosa che hai mangiato, è un odore intenso che origina proprio dai tuoi tessuti e che nessun dentifricio o collutorio riesce a coprire. Hai la sensazione netta che qualcosa non vada, che il corpo stia chiedendo aiuto.

È la gengivite ulcero-necrotica. Un nome complicato per dire che le gengive, in alcuni punti, stanno morendo a causa della gravità dell infezione.

Come si riconosce?

Guarda la tua bocca.

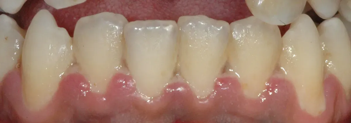
Guarda lo spazio tra un dente e l’altro. Quella piccola porzione di gengiva a forma di triangolo che riempie lo spazio si chiama papilla interdentale. Nella gengivite ulcero-necrotica, è proprio lì che inizia il problema.

Alcuni batteri detti “periopatogeni”, che normalmente possono vivere in bocca anche senza fare danni (patogeni opportunisti), hanno preso il sopravvento. Attaccano il tessuto, lo consumano. Si formano piccole ulcere coperte da una patina grigiastra. Il tessuto sano diventa tessuto morto. E le papille appaiono come “mozzate” (vedi immagine di copertina).

Per questo fa così male. Per questo sanguina. Per questo l’alito cambia.

I segnali sono difficili da confondere con altro.

Il dolore è forte, costante. Non serve toccare le gengive per sentirlo: c’è anche a riposo, e peggiora quando mangi.

Il sanguinamento è abbondante. Basta passare lo spazzolino, a volte basta solo sciacquare la bocca.

L’alito ha un odore caratteristico, sgradevole, che chi ti sta vicino nota prima di te.

Sintomi generali

Potresti sentirti anche stanco, con qualche linea di febbre, i linfonodi sotto la mandibola gonfi e dolenti.

Le analisi del sangue mostreranno un aumento dei neutrofili, del CSF, e di alcune citochine (tra cui TNF).

Perché è successo proprio a te

Questa malattia non arriva per caso. Sceglie il momento in cui sei più vulnerabile.

Forse stai attraversando un periodo difficile. Lo stress abbassa le difese del corpo, e la bocca è spesso il primo posto dove questo si vede.

Non è un caso che durante la Prima Guerra Mondiale i soldati nelle trincee ne soffrissero in massa. La chiamavano, appunto, “bocca da trincea”.

Forse fumi. Il fumo danneggia la circolazione delle gengive e indebolisce le cellule che dovrebbero difenderti.

Forse, negli ultimi tempi, hai trascurato un po’ l’igiene orale. I batteri hanno trovato terreno fertile.

Forse dormi poco, mangi male, bevi troppo. Il corpo fa i conti con tutto.

I batteri che la causano

È una malattia infettiva. Ma quali sono gli agenti patogeni responsabili?

Un recente studio cambia sostanzialmente il panorama della patogenesi batterica della GUNA.

I periopatogeni più rappresentati nei pazienti con questa condizione sarebbero i seguenti: Porphyromonas spp. (tra cui P. gingivalis), Tannerella forsythia, Prevotella spp. (tra cui P. intermedia), Fusobacterium spp. (tra cui P. nucleatum), Fusobacterium periodonticum, Campylobacter rectus, Actinomyces gerencseriae.

Tuttavia, lo stesso studio pone l’accento sul fatto che la GUNA sembra essere più una disbiosi che un’infezione sostenuta da gruppi specifici di patogeni, come si sosteneva un tempo. E ciò è in linea con la patogenesi da stress.

Come si cura

La buona notizia: si guarisce.

La prima cosa da fare è andare dal tuo dentista. Non è una situazione da gestire a casa con i collutori. Serve rimuovere i depositi e il tessuto malato, con delicatezza, spesso in anestesia locale per non farti sentire dolore.

Ti prescriverà degli sciacqui medicati e, se necessario, un antibiotico specifico per questo tipo di infezione (metronidazolo).

Per il dolore bastano antinfiammatori comuni, quelli che probabilmente hai già in casa.

Ma la cura vera viene dopo. Quando le gengive saranno guarite, dovrai chiederti cosa ha permesso a questa malattia di arrivare. E lavorare su quello.

Cosa succede se non ti curi

Non voglio spaventarti, ma devi sapere come stanno le cose.

Se trascurata, l’infezione può andare più in profondità. Può raggiungere l’osso che sostiene i denti. A quel punto non si parla più di gengivite, ma di parodontite necrotizzante. E i denti possono iniziare a muoversi.

È raro ma possibile. Per questo non devi aspettare.

Chi colpisce

Ho visto tanti giovani con questa malattia. Di solito, capisco cos’hanno già quando chiamano al telefono. Spesso sono studenti universitari che affrontano sessioni di esame. Molti fumano.

Questa malattia è un segnale. Ti sta dicendo che qualcosa, nel modo in cui vivi, ha superato un limite. Troppo stress. Troppe sigarette. Troppa trascuratezza. Troppo poco riposo.

Guarire significa anche fermarsi un momento. Capire cosa non funziona. E decidere di cambiare qualcosa per salvaguardare la tua salute.

Il dolore passerà. Le gengive guariranno. Ma il messaggio merita di essere ascoltato.

FAQ:

Cos’è la gengivite ulcero-necrotica e perché è importante capirne i sintomi? La gengivite ulcero-necrotica, nota anche come stomatite di Vincent, è una grave infezione gengivale che si manifesta con dolore intenso, sanguinamento e un sapore metallico in bocca, richiede una diagnosi tempestiva per evitare complicazioni.

Come si riconosce la gengivite ulcero-necrotica? Puoi riconoscerla osservando lo spazio tra i denti, dove le gengive si presentano come piccole ulcere coperte da una patina grigiastra, che causano dolore, sanguinamento e alitosi sgradevole.

Quali sono i sintomi generali associati alla gengivite ulcero-necrotica? Potresti sentirti stanco, avere qualche linea di febbre, e notare un gonfiore e dolore ai linfonodi sotto la mandibola, con analisi del sangue che mostrano un aumento dei neutrofili e delle citochine infiammatorie.

Perché questa malattia colpisce alcune persone in determinati momenti? La gengivite ulcero-necrotica si verifica più facilmente quando il corpo è vulnerabile a causa di stress, cattive abitudini come il fumo, scarsa igiene orale o fattori come il sonno insufficiente, dieta scorretta o forte stress.

Come si cura la gengivite ulcero-necrotica e cosa rischia chi non si cura? Si cura con la rimozione del tessuto infetto da parte del dentista, uso di sciacqui medicati e, se necessario, antibiotici come il metronidazolo; trascurarne i sintomi può portare a infezioni più profonde, come la parodontite necrotizzante, che può causare il movimento dei denti.

Immagine di copertina di dr.Mohamed HAMZE - personal practice in dental cabinet, Pubblico dominio, https://commons.wikimedia.org/w/index.php?curid=3378984

Domande frequenti

Cos'è la gengivite ulcero-necrotica e perché è importante capirne i sintomi?
La gengivite ulcero-necrotica, nota anche come stomatite di Vincent, è una grave infezione gengivale che si manifesta con dolore intenso, sanguinamento e un sapore metallico in bocca, richiede una diagnosi tempestiva per evitare complicazioni.
Come si riconosce la gengivite ulcero-necrotica?
Puoi riconoscerla osservando lo spazio tra i denti, dove le gengive si presentano come piccole ulcere coperte da una patina grigiastra, che causano dolore, sanguinamento e alitosi sgradevole.
Quali sono i sintomi generali associati alla gengivite ulcero-necrotica?
Potresti sentirti stanco, avere qualche linea di febbre, e notare un gonfiore e dolore ai linfonodi sotto la mandibola, con analisi del sangue che mostrano un aumento dei neutrofili e delle citochine infiammatorie.
Perché questa malattia colpisce alcune persone in determinati momenti?
La gengivite ulcero-necrotica si verifica più facilmente quando il corpo è vulnerabile a causa di stress, cattive abitudini come il fumo, scarsa igiene orale o fattori come il sonno insufficiente, dieta scorretta o forte stress.
Come si cura la gengivite ulcero-necrotica e cosa rischia chi non si cura?
Si cura con la rimozione del tessuto infetto da parte del dentista, uso di sciacqui medicati e, se necessario, antibiotici come il metronidazolo; trascurarne i sintomi può portare a infezioni più profonde, come la parodontite necrotizzante, che può causare il movimento dei denti. Immagine di copertina di dr.Mohamed HAMZE - personal practice in dental cabinet, Pubblico dominio, https://commons.wikimedia.org/w/index.php?curid=3378984

Cerchi uno specialista?

Parodontologia a Frosinone →

Diagnosi e trattamento della parodontite nello Studio Denti Più

Hai bisogno di un parere?

Prenota una visita nello studio del Dr. Bruschi a Frosinone. Prima visita con diagnosi completa e piano di trattamento personalizzato.

Oppure scrivici dal form contatti →

Condividi:

Resta aggiornato

Nuovi articoli su parodontologia, implantologia e chirurgia orale — nella tua casella email.

Commenti

Caricamento commenti...

Lascia un commento

I commenti sono moderati prima della pubblicazione.