Copertura radicolare con innesto connettivale nel settore anteriore mascellare

· · 1 min di lettura
Tecnica
Lembo a scorrimento coronale con innesto di connettivo subepiteliale
Zona
Mascellare anteriore
Durata
3 mesi
Fasi documentate
2

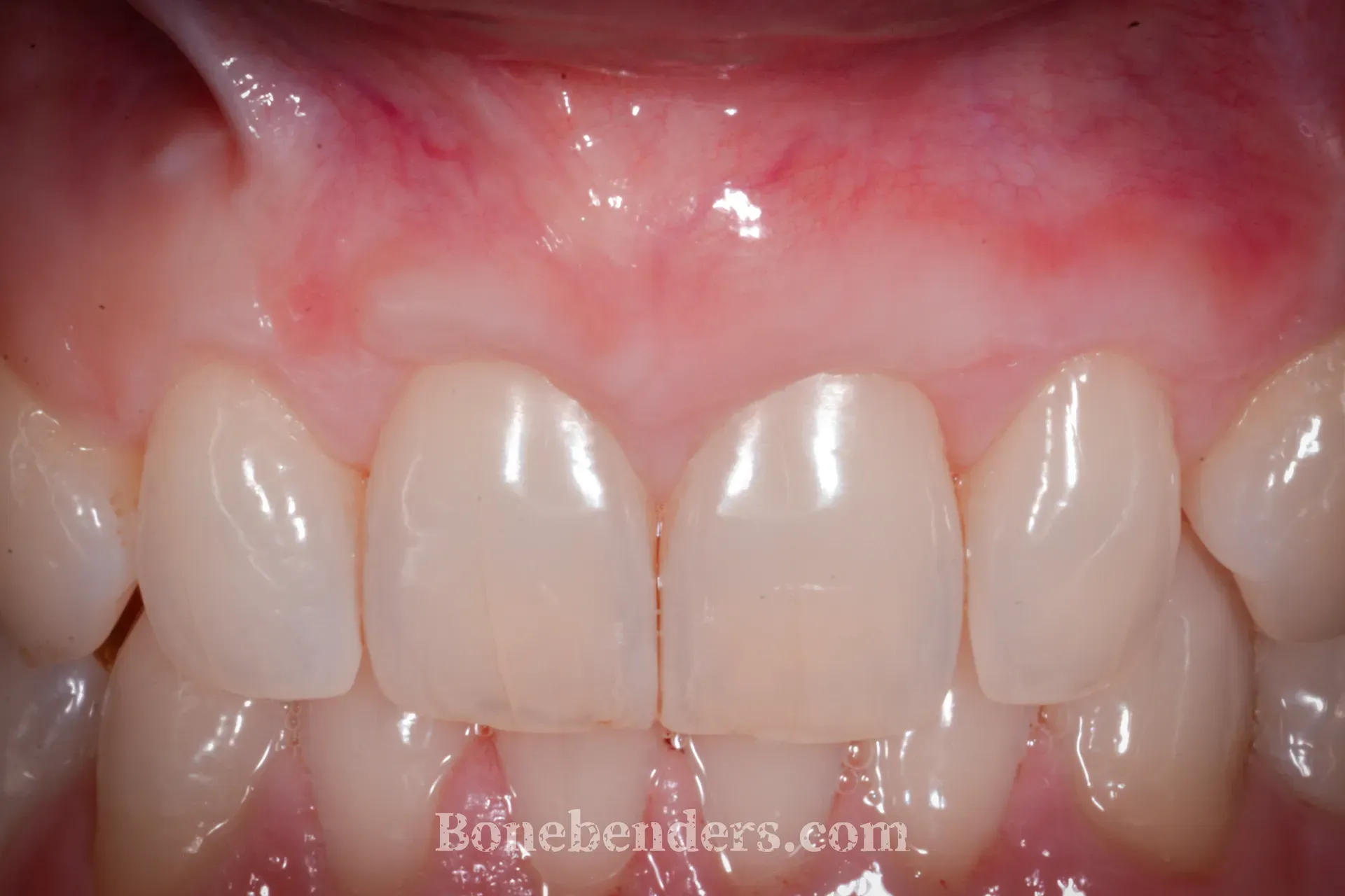
Situazione iniziale

Il paziente presenta recessioni gengivali gravi a carico degli incisivi superiori, con forte sensibilità alle temperature e compromissione estetica del sorriso.

Piano di trattamento

Si opta per copertura radicolare con lembo a scorrimento coronale (CAF) e innesto di connettivo subepiteliale prelevato dal palato.

Intervento

Lembo liberato dalle aderenze muscolari e mobilizzato verso la parte coronale dei denti. Innesto di connettivo subepiteliale interposto tra lembo e superfici radicolari esposte. Sutura con filo riassorbibile.

Risultato

A 3 mesi: guarigione ottimale con copertura radicolare completa. Sensibilità alle temperature risolta. Estetica del sorriso ripristinata.

Domande frequenti

Cos'è la copertura delle recessioni gengivali?
È una tecnica di chirurgia plastica parodontale che ripristina la gengiva persa, coprendo le radici esposte con tessuto connettivo prelevato dal palato o con matrici dermiche acellulari.
Quanto dura l'intervento?
L'intervento dura circa 60-90 minuti in anestesia locale. La guarigione iniziale richiede 2-3 settimane.

Referenze

  1. https://pubmed.ncbi.nlm.nih.gov/23432657/

Cerchi uno specialista?

Parodontologia a Frosinone →

Diagnosi e trattamento della parodontite nello Studio Denti Più

Hai bisogno di un parere?

Prenota una visita nello studio del Dr. Bruschi a Frosinone. Prima visita con diagnosi completa e piano di trattamento personalizzato.

Oppure scrivici dal form contatti →

Condividi:

Resta aggiornato

Nuovi articoli su parodontologia, implantologia e chirurgia orale — nella tua casella email.