Gengive che si ritirano: cause, rimedi e quando serve il chirurgo
In breve — Le gengive che si ritirano sono un problema comune che espone la radice del dente e genera sensibilità, rischio di carie radicolare e disagio estetico. Non tutte le recessioni richiedono chirurgia. Questo articolo spiega quando preoccuparsi, quali sono le cause reali, come il parodontologo classifica il difetto e cosa aspettarsi dall’intervento.
Summary (EN) — Gingival recession is a common condition that exposes root surfaces, causing sensitivity, root caries risk and aesthetic concerns. Not all recessions need surgery. This article explains when to worry, the real causes, how the periodontist classifies the defect, and what to expect from treatment.
Le gengive non ricrescono da sole
Chiariamo subito il punto essenziale. La gengiva che si ritira non torna indietro spontaneamente. Non esistono dentifrici, collutori, integratori o rimedi naturali che facciano ricrescere il tessuto perduto. Chiunque prometta il contrario sta vendendo un’illusione.
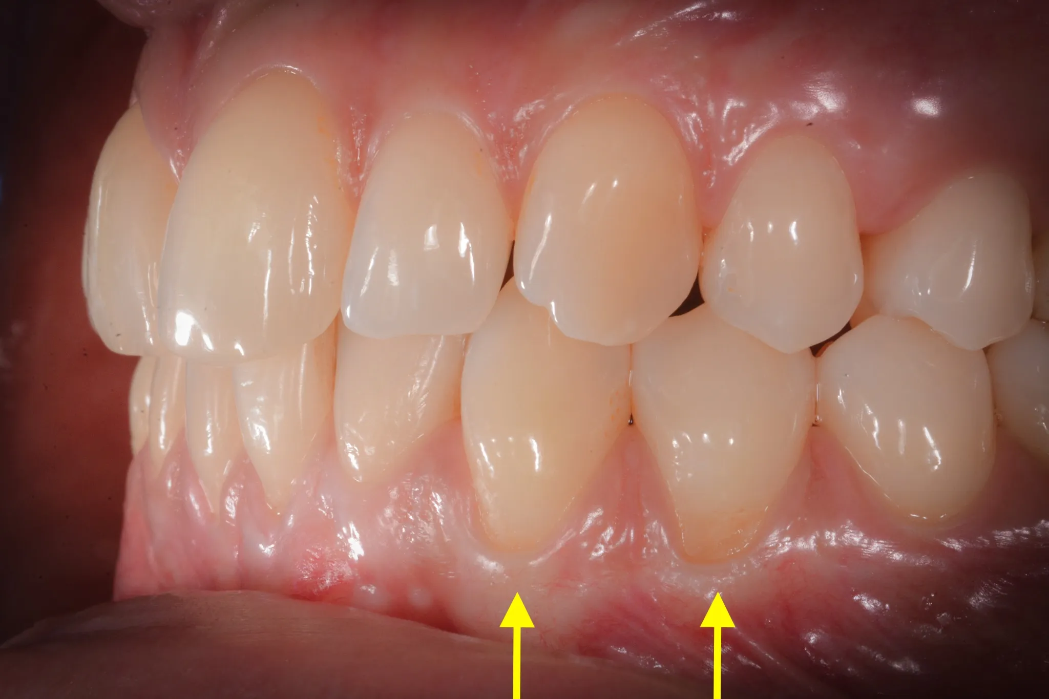
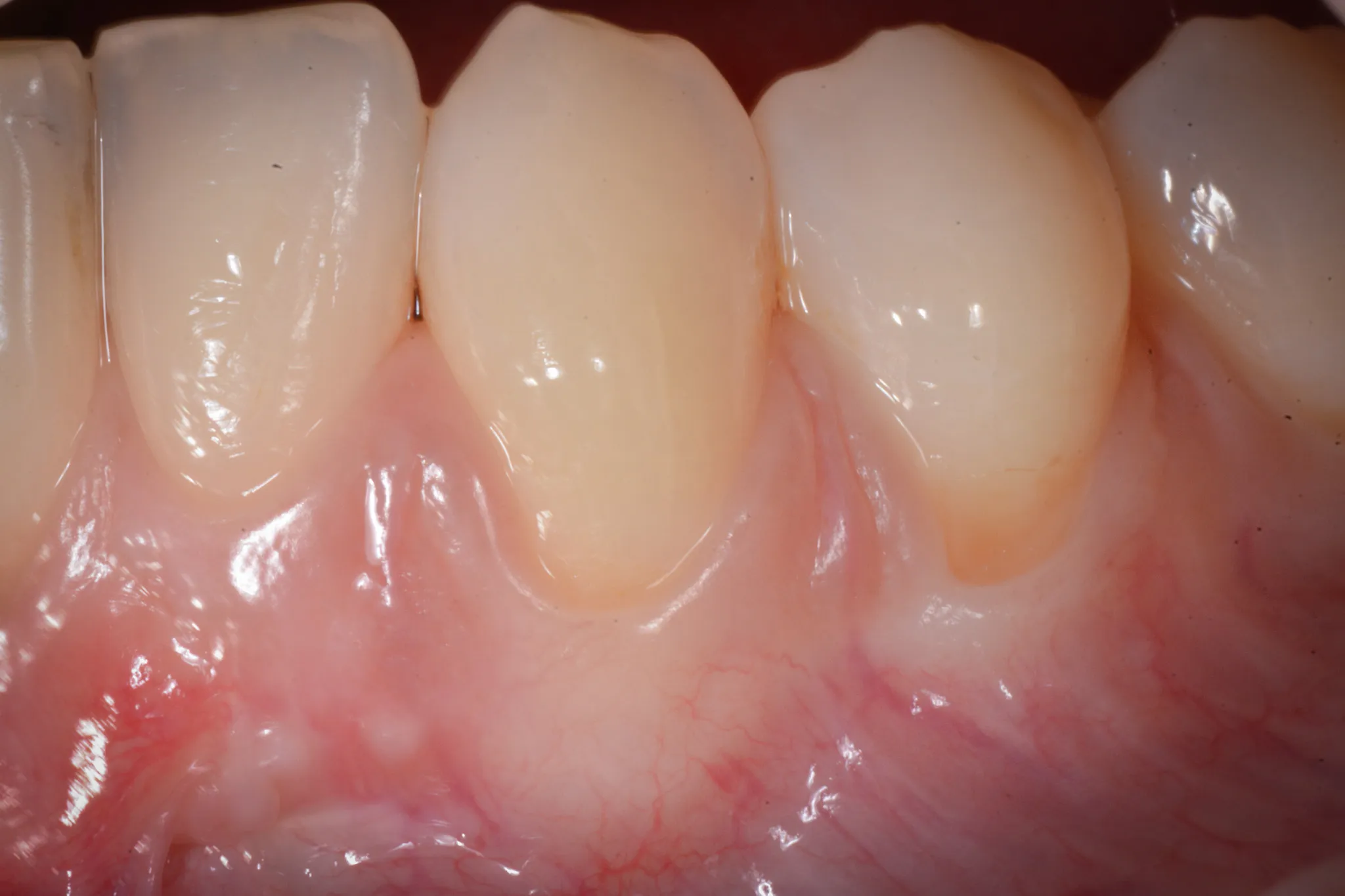
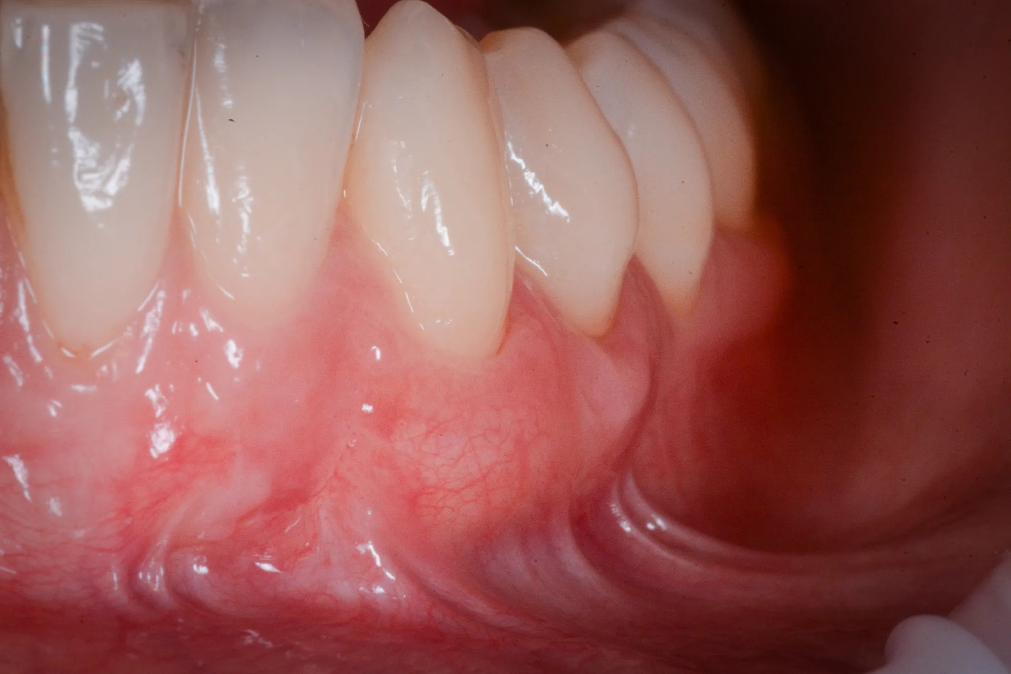
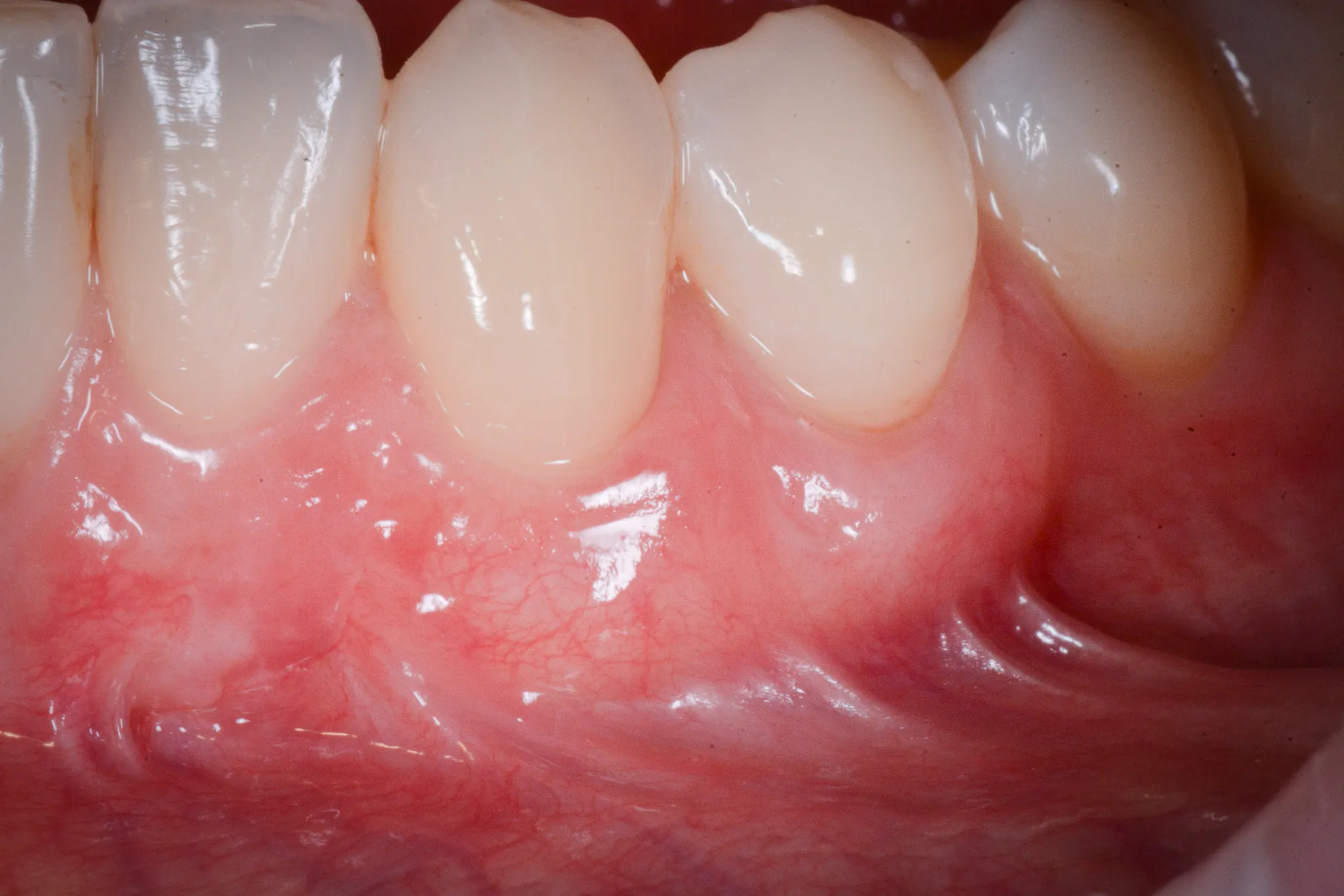
Il tessuto gengivale vero è un tessuto connettivo rivestito da epitelio cheratinizzato (in sostanza, un tessuto più spesso e resistente adeso all’osso sottostante). Quando si ritira, espone la radice del dente — una superficie che non è progettata per stare a contatto con l’ambiente orale. La radice è più porosa dello smalto, più vulnerabile alla carie, più sensibile agli stimoli termici.
Inoltre, a volte la gengiva si assottiglia per vari motivi lasciando spazio da un tessuto più delicato (mucosa orale) che è identico a quello che riveste le guancie e l’interno delle labbra.
La buona notizia: in molti casi il chirurgo parodontologo può riportare la gengiva nella posizione originale e aumentarne lo spessore. Ma non sempre, e non a qualunque costo. Dipende dal tipo di recessione.
Perché le gengive si ritirano
Le cause sono più di quelle che la maggior parte dei pazienti immagina. Non è solo “spazzolare troppo forte”, anche se questo rimane un fattore importante.
Spazzolamento traumatico. Lo spazzolino rigido, usato con movimenti orizzontali e pressione eccessiva, abrade il margine gengivale sottile, soprattutto vestibolare. Il danno è cronico, progressivo, spesso unilaterale — il lato opposto alla mano dominante è quello più colpito.
Parodontite. La malattia parodontale distrugge l’osso di supporto e, con esso, la gengiva che lo riveste. In questo caso la recessione non è isolata ma generalizzata, e si può accompagnare a tasche, sanguinamento, mobilità. È un problema completamente diverso dallo spazzolamento.
Biotipo sottile. Alcune persone hanno gengive sottili per costituzione — una banda stretta di cheratinizzata, un periostio esile, una corticale ossea vestibolare ridotta a un velo. In questi pazienti, anche stimoli minimi possono innescare la recessione.
Frenuli aberranti. Un frenulo (fibra muscolare) che si inserisce troppo vicino al margine gengivale esercita una trazione costante durante i movimenti labiali. Il tessuto cede.
Movimenti ortodontici. La revisione sistematica di Cadenas de Llano-Pérula et al. (2023) su 48 studi ha documentato una prevalenza, severità ed estensione significativamente maggiore di recessioni nei pazienti ortodontici, soprattutto dopo proclinazione degli incisivi. Un biotipo gengivale sottile e una ridotta banda di cheratinizzata pre-trattamento sono fattori di rischio confermati (DOI).
Piercing orali. Lingua e labbro. Il metallo che batte contro la gengiva, giorno e notte, la distrugge.
Malposizione dentale. Un dente vestibolarizzato, fuori dall’arco, ha meno osso e meno gengiva dalla parte esterna. La recessione è quasi inevitabile.
Anche bruxismo e digrinamento causano recessioni gengivali. Il meccanismo è bio-meccanico e causa, in primis, le “affrazioni cervicali”, delle lesioni “a V” alla base dei denti.


Quando preoccuparsi
Non tutte le recessioni richiedono un intervento. Alcune sono stabili da anni, non progrediscono, non creano problemi. Il paziente convive con esse senza saperlo.
Ma ci sono segnali che meritano una visita dal parodontologo:
La sensibilità al freddo è il primo campanello. Quando bevi acqua fresca e senti una fitta su un dente specifico, spesso è la radice esposta che parla.
Il dente che “sembra più lungo” è il segno visivo. Il paziente lo nota allo specchio, oppure lo nota il dentista durante un controllo.
Il sanguinamento durante lo spazzolamento, soprattutto se localizzato, può indicare un’infiammazione del margine che accelera la recessione.
La progressione è un criterio decisivo. Una recessione che aumenta nel tempo va trattata prima che diventi irrecuperabile.
L’altro criterio molto importante è l’ampiezza del tessuto gengivale. Sotto i due millimetri, è consigliabile intervenire.
Come classifichiamo la recessione
La classificazione che usiamo in clinica è quella proposta da Cairo nel 2011, pubblicata sul Journal of Clinical Periodontology. È semplice, riproducibile e — cosa più importante — predittiva del risultato chirurgico (DOI).
Il criterio è uno solo: lo stato dell’attacco clinico interprossimale.
RT1 — Recessione senza perdita di attacco interprossimale. L’osso tra i denti è integro. È il caso ideale: la copertura radicolare completa è altamente predicibile.
RT2 — Recessione con perdita di attacco interprossimale, ma inferiore o uguale a quella vestibolare. La prognosi è buona ma la copertura completa non è garantita.
RT3 — Recessione con perdita di attacco interprossimale superiore a quella vestibolare. Il supporto osseo tra i denti è compromesso. La copertura completa è improbabile.
In parole più semplici: se il livello dei tessuti interdentali è ancora conservato, il chirurgo può riportare la gengiva dove era. Se l’osso tra i denti non c’è più, il risultato sarà parziale ma migliorativo.
Cosa può fare il chirurgo
Il trattamento chirurgico delle recessioni è uno dei campi più studiati della parodontologia. Esistono tecniche consolidate con decenni di evidenza.
L’innesto connettivale sottoepiteliale (SCTG) con lembo coronalmente avanzato (CAF) è il gold standard. La network meta-analisi di Chambrone et al. (2022), pubblicata sul Journal of Periodontology, ha analizzato 38 studi randomizzati su 1.265 recessioni e ha confermato che questa tecnica è la più efficace per copertura radicolare completa, copertura media e guadagno di tessuto cheratinizzato (DOI).
In alcuni casi è necessario ispessire i tessuti, oltreché spostarli per coprire le radici. L’ispessimento si ottiene con un prelievo di tessuto connettivo dal palato o con dei biomateriali chiamati “matrici dermiche”. Il materiale interposto (innesto dal paziente o matrice) fornisce spessore, mentre il lembo spostato in senso coronale protegge e rivascolarizza il sito.
La tecnica a tunnel è una variante meno invasiva che evita le incisioni di scarico verticali. Tavelli et al. (2018) hanno documentato in una revisione sistematica e meta-analisi una copertura media dell’82-88% con risultati estetici promettenti (DOI). È particolarmente indicata per le recessioni multiple adiacenti.


L’intervento fa male?
La chirurgia mucogengivale è tra le meno dolorose in odontoiatria. Il sito ricevente — la gengiva attorno al dente — ha un decorso quasi indolore. Un fastidio maggiore origina dal palato, se si usa tale innesto. È necessario valutare le alternative, come la copertura senza innesto e l’uso di matrici dermiche.
Il gonfiore è minimo. L’ecchimosi è rara. La maggior parte dei pazienti torna alla vita normale il giorno dopo.
Cosa puoi fare tu, adesso
Se noti che le gengive si stanno ritirando, il passo più utile è smettere di aggravare la situazione.
Passa a uno spazzolino morbido. Abbandona quello medio o duro. Non serve pressione per pulire: servono tecnica e tempo.
Impara la tecnica di Bass modificata. Il tuo igienista può insegnartela in cinque minuti. Cambia tutto.
Se hai un piercing orale, valuta seriamente di rimuoverlo. Il danno che fa è silenzioso e irreversibile.
E soprattutto: fatti visitare da un parodontologo. Non un dentista generico, non un igienista — un parodontologo. La recessione è il suo campo. Sa distinguere una RT1 da una RT3, sa quando operare e quando non farlo, sa quali fattori influenzano il risultato.
La gengiva non ricresce da sola. Ma con le mani giuste, può tornare dov’era.
Domande Frequenti (FAQ)
Le gengive che si ritirano possono tornare come prima?
Non da sole. Nessun prodotto — dentifricio, collutorio, integratore — può far ricrescere la gengiva persa. Tuttavia, il chirurgo parodontologo può riportare chirurgicamente il tessuto nella posizione originale nella maggioranza dei casi, soprattutto nelle recessioni RT1 dove l’osso interprossimale è integro.
Qual è la causa principale delle gengive che si ritirano?
Non esiste una causa unica. Le più comuni sono lo spazzolamento traumatico (spazzolino duro, movimenti orizzontali), la parodontite, il biotipo gengivale sottile, i movimenti ortodontici e i piercing orali. Spesso più fattori agiscono insieme.
L’intervento per le gengive che si ritirano è doloroso?
La chirurgia mucogengivale è tra le meno dolorose in odontoiatria. Il disagio principale viene dal sito di prelievo sul palato e dura pochi giorni. Il sito trattato sulla gengiva ha un decorso quasi indolore. Si gestisce con antinfiammatori comuni.
Quanto costa l’intervento di copertura radicolare?
Per una singola recessione, il costo in Italia varia indicativamente dai 400 ai 1.000 euro, in base alla tecnica e alla complessità. Le recessioni multiple trattate in una seduta hanno un costo proporzionalmente inferiore per dente.
Quando è necessario l’intervento chirurgico e quando no?
Non tutte le recessioni richiedono chirurgia. Una recessione stabile, che non progredisce e non crea sensibilità, può essere semplicemente monitorata. L’intervento è indicato quando la recessione avanza, quando causa sensibilità persistente, quando espone la radice a rischio di carie, o quando il disagio estetico è significativo.
Che differenza c’è tra recessione RT1, RT2 e RT3?
La classificazione di Cairo (2011) distingue le recessioni in base allo stato dell’osso tra i denti. RT1: osso interprossimale integro, prognosi chirurgica eccellente. RT2: perdita di osso interprossimale parziale, prognosi buona ma copertura completa non garantita. RT3: perdita di osso interprossimale superiore a quella vestibolare, copertura completa improbabile.
Lo spazzolino elettrico può causare recessione gengivale?
Non di per sé. Lo spazzolino elettrico, usato correttamente, è sicuro. Il problema è la pressione eccessiva — che vale per qualsiasi tipo di spazzolino. Molti spazzolini elettrici moderni hanno sensori di pressione che avvisano quando si spinge troppo. La tecnica conta più dello strumento.
Riferimenti
- Cairo F, Nieri M, Cincinelli S, Mervelt J, Pagliaro U. The interproximal clinical attachment level to classify gingival recessions and predict root coverage outcomes: an explorative and reliability study. J Clin Periodontol. 2011;38(7):661-6. DOI
- Chambrone L, Botelho J, Machado V, et al. Does the subepithelial connective tissue graft in conjunction with a coronally advanced flap remain as the gold standard therapy for the treatment of single gingival recession defects? A systematic review and network meta-analysis. J Periodontol. 2022;93(9):1336-1352. DOI
- Chambrone L, Salinas Ortega MA, Sukekava F, et al. Root coverage procedures for treating localised and multiple recession-type defects. Cochrane Database Syst Rev. 2018;10(10):CD007161. DOI
- Tatakis DN, Chambrone L, Allen EP, et al. Periodontal soft tissue root coverage procedures: a consensus report from the AAP Regeneration Workshop. J Periodontol. 2015;86(2 Suppl):S52-5. DOI
- Tavelli L, Barootchi S, Nguyen TVN, et al. Efficacy of tunnel technique in the treatment of localized and multiple gingival recessions: A systematic review and meta-analysis. J Periodontol. 2018;89(9):1075-1090. DOI
- Cadenas de Llano-Pérula M, Castro AB, Danneels M, et al. Risk factors for gingival recessions after orthodontic treatment: a systematic review. Eur J Orthod. 2023;45(5):528-544. DOI
Domande frequenti
- Le gengive che si ritirano possono tornare come prima?
- Non da sole. Nessun prodotto — dentifricio, collutorio, integratore — può far ricrescere la gengiva persa. Tuttavia, il chirurgo parodontologo può riportare chirurgicamente il tessuto nella posizione originale nella maggioranza dei casi, soprattutto nelle recessioni RT1 dove l'osso interprossimale è integro.
- Qual è la causa principale delle gengive che si ritirano?
- Non esiste una causa unica. Le più comuni sono lo spazzolamento traumatico (spazzolino duro, movimenti orizzontali), la parodontite, il biotipo gengivale sottile, i movimenti ortodontici e i piercing orali. Spesso più fattori agiscono insieme.
- L'intervento per le gengive che si ritirano è doloroso?
- La chirurgia mucogengivale è tra le meno dolorose in odontoiatria. Il disagio principale viene dal sito di prelievo sul palato e dura pochi giorni. Il sito trattato sulla gengiva ha un decorso quasi indolore. Si gestisce con antinfiammatori comuni.
- Quanto costa l'intervento di copertura radicolare?
- Per una singola recessione, il costo in Italia varia indicativamente dai 400 ai 1.000 euro, in base alla tecnica e alla complessità. Le recessioni multiple trattate in una seduta hanno un costo proporzionalmente inferiore per dente.
- Quando è necessario l'intervento chirurgico e quando no?
- Non tutte le recessioni richiedono chirurgia. Una recessione stabile, che non progredisce e non crea sensibilità, può essere semplicemente monitorata. L'intervento è indicato quando la recessione avanza, quando causa sensibilità persistente, quando espone la radice a rischio di carie, o quando il disagio estetico è significativo.
- Che differenza c'è tra recessione RT1, RT2 e RT3?
- La classificazione di Cairo (2011) distingue le recessioni in base allo stato dell'osso tra i denti. RT1: osso interprossimale integro, prognosi chirurgica eccellente. RT2: perdita di osso interprossimale parziale, prognosi buona ma copertura completa non garantita. RT3: perdita di osso interprossimale superiore a quella vestibolare, copertura completa improbabile.
- Lo spazzolino elettrico può causare recessione gengivale?
- Non di per sé. Lo spazzolino elettrico, usato correttamente, è sicuro. Il problema è la pressione eccessiva — che vale per qualsiasi tipo di spazzolino. Molti spazzolini elettrici moderni hanno sensori di pressione che avvisano quando si spinge troppo. La tecnica conta più dello strumento.
Referenze
Cerchi uno specialista?
Parodontologia a Frosinone →Diagnosi e trattamento della parodontite nello Studio Denti Più
Hai bisogno di un parere?
Prenota una visita nello studio del Dr. Bruschi a Frosinone. Prima visita con diagnosi completa e piano di trattamento personalizzato.
Resta aggiornato
Nuovi articoli su parodontologia, implantologia e chirurgia orale — nella tua casella email.
Commenti
Caricamento commenti...
Lascia un commento