Carico Immediato: Tecnica, Vantaggi e Quando è Indicato
In breve — L’implantologia a carico immediato consente il ripristino estetico-funzionale entro 24-48 ore dall’inserimento implantare. Richiede stabilità primaria adeguata e buona qualità ossea. Non adatta a tutti i casi: il carico differito rimane indicato con osso compromesso o fattori di rischio significativi.
Summary (EN) — Immediate-load implantology restores esthetic-functional recovery within 24-48 hours of implant placement. Requires adequate primary stability and good bone quality. Not suitable for all cases: delayed loading remains indicated with compromised bone or significant risk factors.
Perdere uno o più denti può compromettere non solo l’estetica del sorriso, ma anche la capacità di masticare correttamente, parlare con sicurezza e relazionarsi serenamente con gli altri.
L’implantologia a carico immediato non è una novità. In Italia, alcuni pionieri la facevano già negli anni ‘60…
È una soluzione che permette di recuperare la funzionalità della bocca immediatamente dopo l’inserimento di uno o più impianti (non è necessariamente tutta la bocca!).
Ma è davvero adatta a tutti? Quando è possibile applicarla e quali sono i reali benefici rispetto alle tecniche tradizionali?
In questo articolo approfondirò tutti gli aspetti di questa tecnica chirurgica, spiegando come funziona, quali sono le indicazioni corrette e quando invece è preferibile optare per il carico differito.
Come chirurgo specializzato in quella che chiamo rigenerazione su misura, ritengo fondamentale che ogni trattamento sia cucito addosso al paziente, valutando attentamente le caratteristiche anatomiche e le condizioni cliniche individuali.
Cos’è l’Implantologia a Carico Immediato
L’implantologia a carico immediato è una tecnica chirurgica che consente la sostituzione di denti persi con impianti in titanio, i quali fungono da nuove radici artificiali.
Questa procedura non solo mira a ripristinare l’estetica del sorriso, ma anche a migliorare il benessere funzionale e la qualità della vita quotidiana del paziente.
La caratteristica distintiva di questa metodica consiste nell’applicazione immediata di una protesi provvisoria sugli impianti appena inseriti, permettendo al paziente di tornare a sorridere e a masticare (con le dovute precauzioni) già nelle prime ore dopo l’intervento. Quando si presentano casi di edentulia totale per una o entrambe le arcate, questa tecnica offre la possibilità di restituire piena funzionalità alla bocca in tempi rapidissimi.
Attualmente, l’uso dell’implantologia dentale a carico immediato è molto diffuso nella pratica clinica. Tuttavia, è importante sottolineare che in alcuni casi viene proposta anche quando non strettamente necessaria, talvolta portando alla rimozione non giustificata di denti che potrebbero essere recuperati.
Per questo motivo, è fondamentale rivolgersi a professionisti qualificati che valutino ogni caso con attenzione e onestà professionale.
Come Funziona la Tecnica
Dal punto di vista biologico, la procedura consiste nella sostituzione della radice dentale con un impianto in titanio e nell’applicazione immediata di una protesi provvisoria.
Questa protesi ristabilisce immediatamente l’estetica e permette una normale vita di relazione durante il periodo di guarigione. Durante la fase iniziale, è possibile masticare con cautela cibi morbidi, passando gradualmente a cibi più solidi dopo il primo mese.
È un processo biologico simile alla guarigione di una frattura di un osso lungo.
Questo approccio consente la riabilitazione provvisoria del dente singolo, di un’arcata dentaria o dell’intera bocca in 24 ore.
È importante comprendere che la protesi provvisoria ha funzioni sia estetiche che funzionali, ma deve essere gestita con attenzione nelle prime settimane per garantire il successo dell’osteointegrazione.
Rigenerazione su Misura e Carico Immediato
L’implantologia a carico immediato rientra nella filosofia della rigenerazione su misura? La risposta è articolata: si e no.
Possono essere procedure compatibili e simultanee, ma anche contrapposte a seconda delle circostanze cliniche. Tuttavia, resta fondamentale che la terapia sia cucita addosso al paziente e che almeno il piano di trattamento sia personalizzato, anche in assenza di rigenerazione tissutale guidata.
È importante sempre ricordare che non tutti i trattamenti sono adatti a ogni paziente e non tutti i pazienti sono adatti a ogni trattamento.
La valutazione individuale rappresenta la base di ogni successo terapeutico.
Carico Immediato vs Carico Differito: Le Differenze
Nell’ambito odontoiatrico, si distinguono due pratiche implantologiche principali: l’implantologia a carico immediato e quella a carico differito.
La differenza fondamentale tra queste metodologie risiede nei tempi di applicazione della protesi dopo l’inserimento degli impianti.
Nel carico immediato, la protesi provvisoria viene applicata entro 24-48 ore dall’inserimento degli impianti.
Nel carico differito, invece, si attende che avvenga la completa osteointegrazione (generalmente 2-4 mesi) prima di caricare gli impianti con la protesi.
Entrambe le tecniche hanno le proprie indicazioni specifiche e nessuna è superiore all’altra in assoluto: la scelta dipende esclusivamente dalle caratteristiche del caso clinico.
Quando è Indicato il Carico Immediato
Generalmente, il carico immediato è riservato a casi in cui la stabilità primaria degli impianti dopo l’inserimento è sufficiente a sopportare le sollecitazioni meccaniche delle prime tre settimane di guarigione, che rappresentano il periodo più critico.
Tale stabilità viene ricercata nelle zone più dense dell’osso mascellare o mandibolare, specialmente nella parte apicale dell’impianto, dove è possibile ottenere un ancoraggio corticale (cioè nella parte più densa e stabile dell’osso).
Gli impianti dentali non sono semplici “viti”, anche se possono sembrarlo.
Sebbene presentino spire autofilettanti e una forma cilindrica o conica, la stabilità iniziale generata dall’avvitamento nell’osso deve essere progressivamente sostituita da una nuova stabilità derivante dalla crescita di nuovo osso sulla superficie dell’impianto entro il primo mese. Questo processo, chiamato osteointegrazione, è alla base del successo a lungo termine.
Se il materiale dell’impianto non fosse osseointegrabile, verrebbe inevitabilmente rigettato dall’organismo.
Per rendere l’idea: una vite da falegname inserita nell’osso cadrebbe dopo due settimane, perché non ha le caratteristiche di superficie che permettono l’adesione e la crescita cellulare ossea.
Impianto in Titanio di forma evoluta (Newton - Kalodon)
Quando è Preferibile il Carico Differito
Qualora la densità ossea e le caratteristiche anatomiche non consentano di ottenere una stabilità primaria adeguata, oppure se l’intervento avviene in una zona non estetica dove il paziente può attendere senza disagio, è prefribile attendere la guarigione ossea completa (3-4 mesi) prima di inserire una protesi ad ancoraggio implantare.
Talvolta, si utilizzano protesi provvisorie rimovibili o soluzioni temporanee per garantire al paziente una vita normale durante il periodo di guarigione.
Personalmente, non mi è mai capitato di lasciare un paziente senza denti. Non rientra tra le mie prospettive.
La scelta della metodica più idonea è determinata dalle condizioni cliniche specifiche, valutando attentamente la condizione delle strutture ossee e gengivali, oltre alla situazione generale di salute del paziente.
Le Fasi dell’Intervento di Carico Immediato
L’intervento di implantologia a carico immediato avviene attraverso diverse fasi ben pianificate.
La prima fase comprende una visita accurata durante la quale si raccoglie l’anamnesi medica completa e si valutano le aspettative del paziente.
Seguono una serie di esami diagnostici specialistici come la radiografia panoramica e la TAC Cone Beam, fondamentali per valutare con precisione la quantità e qualità dell’osso disponibile. Spesso, sono necessari anche esami di laboratorio. Talvolta, è necessario effettuare anche altre visite specialistiche.
Successivamente, si acquisiscono le impronte digitali o le scansioni intraorali computerizzate delle arcate dentarie, che permetteranno al laboratorio odontotecnico di preparare la protesi provvisoria prima ancora dell’intervento.
Gli esami strumentali permettono di simulare, ancora prima dell’intervento chirurgico, la posizione tridimensionale degli impianti per assicurarsi che non vadano a interferire con strutture anatomiche nobili come il nervo alveolare inferiore, il seno mascellare o le radici dei denti adiacenti che devono essere preservate.
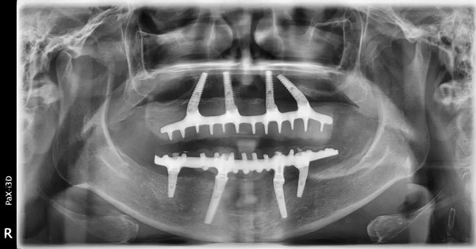
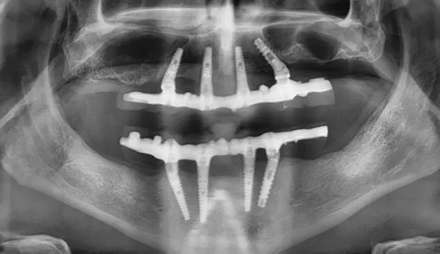
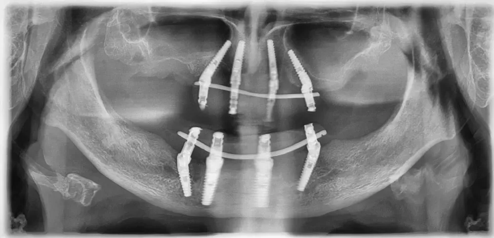
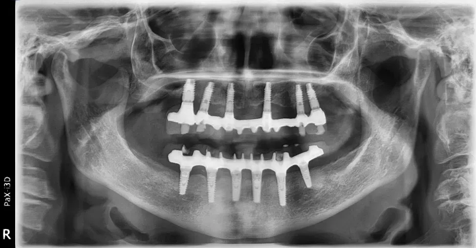
Personalizzazione del Piano di Trattamento
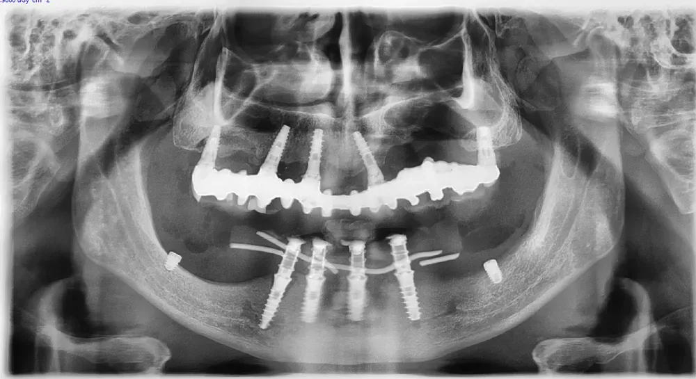
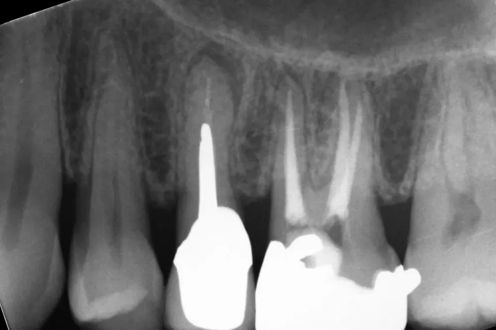
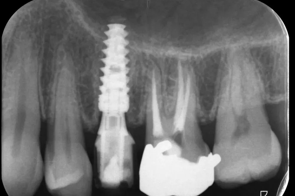
Personalmente, amo scegliere il numero e le misure degli impianti in base alle caratteristiche anatomiche del singolo paziente, piuttosto che affidarmi a protocolli troppo rigidi e standardizzati. Sempre nell’ottica della rigenerazione su misura, ritengo che ogni caso debba essere studiato individualmente per ottimizzare il risultato finale.
Le immagini radiografiche che seguono testimoniano alcune delle tante soluzioni tecniche che ho utilizzato per le arcate a carico immediato nel corso della mia carriera. Ogni caso presenta sfide diverse e richiede un approccio personalizzato.






Anche nei pazienti anziani con protesi mobili (dentiere) che presentano condizioni critiche dal punto di vista osseo, gli interventi di implantologia a carico immediato possono essere portati a termine con successo.
Tutto dipende dalle condizioni di salute generale e dall’anatomia residua. Non esiste un limite di età assoluto, ma solo una valutazione attenta del rapporto rischio-beneficio per ogni singolo paziente.
Vantaggi dell’Implantologia a Carico Immediato
L’implantologia a carico immediato offre numerosi vantaggi rispetto alle tecniche tradizionali a carico differito, quando applicata nei casi appropriati.
Il beneficio più evidente e apprezzato dai pazienti è senza dubbio la possibilità di tornare a sorridere e a relazionarsi normalmente già poche ore dopo l’intervento, senza dover affrontare mesi di attesa con protesi mobili provvisorie o peggio ancora con spazi vuoti visibili.
Dal punto di vista psicologico, l’impatto è considerevole. Molti pazienti riferiscono un immediato miglioramento dell’autostima e della qualità della vita sociale, potendo partecipare a eventi importanti, riunioni di lavoro o semplicemente uscire a cena senza l’imbarazzo di mostrare l’assenza di denti o il disagio di protesi mobili instabili.
Un altro vantaggio significativo riguarda la riduzione del numero complessivo di interventi chirurgici. Nella tecnica tradizionale a carico differito, sono spesso necessari due interventi distinti: uno per l’inserimento degli impianti e uno successivo per la connessione dei monconi protesici.
Con il carico immediato, quando possibile, si esegue tutto in un’unica seduta chirurgica, riducendo lo stress del paziente e i tempi biologici di guarigione complessivi.
Dal punto di vista funzionale, la possibilità di masticare gradualmente cibi morbidi fin dalle prime settimane permette di mantenere una certa stimolazione del tessuto osseo, che secondo alcuni studi potrebbe favorire il processo di osteointegrazione grazie alla stimolazione meccanica controllata.
Naturalmente, questo deve avvenire con cautela e seguendo scrupolosamente le indicazioni del chirurgo per evitare sovraccarichi dannosi.
Non va trascurato nemmeno l’aspetto economico indiretto: riducendo il numero di appuntamenti e di interventi, si riducono anche i giorni di assenza dal lavoro e i costi associati agli spostamenti e alle giornate perse. Per molti pazienti, questo rappresenta un fattore non secondario nella scelta del trattamento.
Controindicazioni e Fattori di Rischio
In generale, l’implantologia a carico immediato non presenta controindicazioni assolute che ne impediscano completamente l’applicazione.
Tuttavia, diversi fattori di rischio devono essere attentamente monitorati e valutati per garantire il successo dell’intervento e ridurre al minimo le complicanze.
Le malattie sistemiche e circolatorie rappresentano un primo ambito di attenzione. Pazienti con cardiopatie gravi, disturbi della coagulazione non compensati o patologie vascolari periferiche severe richiedono una valutazione multidisciplinare prima di procedere. La qualità dell’osso trattato gioca un ruolo cruciale: pazienti con osteoporosi avanzata o con pregresse irradiazioni della regione testa-collo possono presentare un osso qualitativamente compromesso.
Il diabete mellito merita un discorso particolare. I pazienti diabetici con complicanze circolatorie e valori glicemici fuori controllo devono riportare la glicemia entro parametri di normalità prima dell’intervento, esattamente come avviene per qualsiasi altra procedura chirurgica. Un diabete ben compensato, con emoglobina glicata inferiore a 7%, non rappresenta una controindicazione al carico immediato.
Il fumo di sigaretta rappresenta uno dei fattori di rischio più rilevanti nell’implantologia moderna. La nicotina e gli altri componenti del fumo di tabacco riducono la vascolarizzazione dei tessuti, compromettono la risposta immunitaria locale e ritardano la guarigione ossea. Nei forti fumatori (più di 10 sigarette al giorno), il tasso di fallimento degli impianti a carico immediato può aumentare significativamente.
Alcune terapie farmacologiche richiedono particolare attenzione.
I bifosfonati, farmaci utilizzati per trattare l’osteoporosi e alcune patologie oncologiche, possono aumentare il rischio di osteonecrosi dei mascellari in seguito a procedure chirurgiche invasive. L’età del paziente, invece, non influisce significativamente sulla possibilità di eseguire impianti a carico immediato.
Rischi e Complicanze Possibili
L’inserimento degli impianti dentali è un vero e proprio intervento chirurgico, non un semplice atto tecnico routinario. Come tale, comporta dei rischi che devono essere conosciuti e discussi con il paziente durante il consenso informato.
I rischi più comuni nell’implantologia convenzionale includono sindromi dolorose post-operatorie, gonfiori, ecchimosi (lividi), infiammazioni e infezioni. Nella maggior parte dei casi, questi eventi avversi sono di lieve entità e si risolvono spontaneamente o con terapia medica appropriata nel giro di pochi giorni. Le parestesie, ovvero alterazioni della sensibilità come formicolii o ipoestesia, possono verificarsi quando durante l’inserimento l’impianto si avvicina molto al nervo alveolare inferiore o ad altri nervi periferici.
Un aspetto che vale la pena chiarire riguarda il cosiddetto “rigetto” degli impianti. Per entrambe le tipologie di impianti, immediati e a carico differito, il rischio di rigetto vero e proprio dovuto all’incompatibilità del materiale è praticamente nullo.
Gli impianti sono realizzati in titanio puro di grado medicale, o in ceramica (zirconia) per chi preferisce tale soluzione, entrambi materiali altamente biocompatibili.
Nei centri di eccellenza, si utilizza esclusivamente titanio puro, sterile e decontaminato, garantendo la produzione europea certificata. È cruciale utilizzare impianti riconosciuti dal Ministero della Salute italiano e con marchio CE della Comunità Europea. Gli impianti di dubbia provenienza possono causare gravi reazioni infiammatorie a causa della cattiva sterilizzazione, contaminazione da residui di lavorazione industriale o leghe metalliche di scarsa qualità.
Ciò che comunemente viene definito “rigetto” è in realtà solo una mancata osteointegrazione. In presenza di una struttura ossea notevolmente ridotta, anche dopo innesti o espansioni ossee, vi è un leggero aumento del rischio di mancata integrazione dell’impianto.
Statistiche alla mano, tale rischio rappresenta una percentuale esigua (generalmente inferiore al 2% nei pazienti sani non fumatori), e in questi casi si verifica la cosiddetta “fibrointegrazione”.
L’impianto fibrointegrato, sebbene privo di infezione attiva, risulta leggermente mobile perché stabilizzato dal tessuto connettivo fibroso anziché dall’osso. Questa condizione rende l’impianto inutilizzabile e necessita la sua rimozione e sostituzione con un nuovo impianto, generalmente di dimensioni leggermente maggiori.
La Protesi Fissa a Carico Immediato
La protesi fissa negli interventi a carico immediato riveste un ruolo fondamentale nel successo complessivo del trattamento. Dopo l’eventuale intervento di estrazione dei denti residui compromessi – laddove sia ritenuto necessario e opportuno dal medico dopo attenta valutazione – si procede all’inserimento degli impianti sui quali verrà immediatamente applicata la protesi provvisoria.
Questo dispositivo protesico provvisorio è stato realizzato prima dell’intervento sulla base delle impronte o scansioni digitali, e viene personalizzato il giorno stesso dell’intervento per adattarsi perfettamente alla nuova situazione anatomica. La protesi provvisoria è generalmente realizzata in resina acrilica rinforzata, un materiale leggero che riduce il carico sugli impianti durante la fase critica di guarigione.
Dalla consegna della protesi provvisoria alla protesi fissa definitiva, nella tecnica a carico immediato trascorre un periodo relativamente breve, generalmente compreso tra i 3 e i 4 mesi. Durante questo intervallo, il paziente non subisce significative limitazioni nelle attività quotidiane: può infatti mangiare cibi morbidi per le prime tre settimane e poi gradualmente reintrodurre alimenti più consistenti, parlare normalmente e svolgere le sue interazioni sociali senza problemi o imbarazzo.
L’obiettivo primario di ogni intervento di implantologia a carico immediato è la completa osteointegrazione, un processo biologico affascinante in cui le nuove radici artificiali in titanio devono essere accettate dal corpo e gradualmente integrate nel tessuto osseo e gengivale circostante.
Dopo l’applicazione della protesi fissa finale, è necessario seguire scrupolosamente le regole per una costante e corretta igiene orale accompagnata da visite di controllo periodiche presso lo studio dentistico.
Un impianto ben integrato, in un paziente che mantiene un’igiene orale ottimale e si sottopone a controlli regolari, non ha limiti di tempo predefiniti.
Salvo particolari cambiamenti nella salute generale, può durare tutta la vita, offrendo un sorriso duraturo e funzionale. Con le giuste cure e attenzione preventiva si possono prevenire complicazioni come la peri-implantite, una malattia infiammatoria che colpisce i tessuti attorno agli impianti.
Domande Frequenti sull’Implantologia a Carico Immediato
Quanto dura un impianto a carico immediato?
Un impianto dentale a carico immediato, se correttamente integrato e mantenuto con adeguata igiene orale, può durare tutta la vita del paziente. La letteratura scientifica riporta tassi di sopravvivenza superiori al 95% a 10 anni per gli impianti a carico immediato in pazienti sani. La durata dipende principalmente dalla salute generale del paziente, dall’igiene orale domiciliare e professionale, dal controllo di fattori di rischio come il fumo e da controlli periodici regolari.
Posso mangiare subito dopo l’intervento di carico immediato?
Sì, ma con alcune importanti precauzioni. Nelle prime 24 ore è consigliabile limitarsi a cibi freddi o a temperatura ambiente, morbidi e non masticabili, come gelati, yogurt, frullati e passati. Dalle 24 ore fino a circa tre settimane dall’intervento, è possibile masticare con cautela cibi morbidi evitando la zona operata. Dopo il primo mese, quando l’osteointegrazione è in fase avanzata, si può gradualmente reintrodurre una dieta normale.
Qual è la differenza principale tra carico immediato e carico differito?
La differenza fondamentale risiede nei tempi di applicazione della protesi. Nel carico immediato, la protesi provvisoria viene applicata entro 24-48 ore dall’inserimento degli impianti, permettendo al paziente un recupero estetico e funzionale immediato. Nel carico differito, si attende che avvenga la completa osteointegrazione (3-4 mesi) prima di caricare gli impianti con qualsiasi protesi. La scelta tra le due tecniche dipende dalla stabilità primaria ottenuta al momento dell’inserimento e dalle caratteristiche anatomiche del paziente.
Quando non è possibile fare il carico immediato?
Il carico immediato non è indicato quando non si riesce a ottenere una stabilità primaria adeguata al momento dell’inserimento degli impianti. Questo si verifica tipicamente in presenza di osso di scarsa densità, dopo innesti ossei recenti non ancora completamente consolidati, in pazienti con severo bruxismo non controllato, in fumatori accaniti che non intendono sospendere l’abitudine, in diabetici scompensati o in presenza di infezioni attive nella zona da trattare.
Il carico immediato è doloroso?
L’intervento di implantologia a carico immediato viene eseguito in anestesia locale, quindi durante la procedura chirurgica non si avverte alcun dolore. Nelle ore successive, quando l’effetto dell’anestesia svanisce, è normale avvertire un moderato fastidio o dolore nella zona operata, facilmente controllabile con comuni analgesici come paracetamolo o ibuprofene. La maggior parte dei pazienti riferisce un disagio post-operatorio inferiore alle aspettative. Gonfiore ed ecchimosi sono possibili ma generalmente lievi e si risolvono in pochi giorni.
Quanto costa un impianto a carico immediato?
Il costo di un trattamento implantare a carico immediato varia considerevolmente in base a numerosi fattori: il numero di impianti necessari, la complessità del caso clinico, la necessità di procedure rigenerative aggiuntive, il tipo di protesi scelta e la qualità dei materiali utilizzati. Per un singolo impianto con corona in ceramica, i costi possono variare da circa 1.500 a 3.000 euro. Per riabilitazioni complete di un’intera arcata con protesi fissa, i costi sono compresi generalmente tra 8.000 e 15.000 euro per arcata.
Quali sono le percentuali di successo del carico immediato?
Le percentuali di successo dell’implantologia a carico immediato sono molto elevate e sovrapponibili a quelle del carico differito quando vengono rispettati i corretti criteri di selezione del paziente. La letteratura scientifica internazionale riporta tassi di successo compresi tra il 95% e il 98% a 5 anni per i pazienti sani non fumatori. Questi dati confermano che, nei casi appropriati, il carico immediato rappresenta una tecnica predicibile e affidabile.
È meglio il carico immediato o quello differito?
Non esiste una tecnica universalmente superiore all’altra: entrambe hanno le proprie indicazioni specifiche. Il carico immediato è preferibile quando sussistono le condizioni anatomiche e cliniche appropriate, perché offre vantaggi in termini di tempi di trattamento ridotti, recupero estetico immediato e minor numero di interventi. Il carico differito rimane la scelta più conservativa e sicura in presenza di osso di scarsa qualità, quando non si ottiene adeguata stabilità primaria o in pazienti con fattori di rischio significativi. La decisione spetta al chirurgo dopo un’attenta valutazione del singolo caso.
Conclusioni e Prossimi Passi
L’implantologia a carico immediato rappresenta una soluzione terapeutica avanzata ed efficace per sostituire denti persi, quando applicata nei casi clinicamente appropriati. Come abbiamo visto, offre numerosi vantaggi in termini di tempi di trattamento ridotti, recupero estetico immediato e minore impatto psicologico sul paziente. Tuttavia, richiede un’attenta selezione dei candidati e una pianificazione chirurgica meticolosa per garantire risultati predicibili e duraturi.
La chiave del successo risiede nella personalizzazione del trattamento: ogni paziente presenta caratteristiche anatomiche, condizioni di salute e aspettative diverse che devono essere attentamente valutate. Non esistono protocolli rigidi applicabili universalmente, ma piuttosto linee guida da adattare caso per caso nell’ottica della rigenerazione su misura.
Se stai considerando l’implantologia a carico immediato o vuoi semplicemente approfondire se questa soluzione è adatta al tuo caso specifico, ti invito a prenotare una visita di valutazione presso il mio studio. Durante la consulenza iniziale, esamineremo insieme la tua situazione clinica mediante esami diagnostici appropriati e discuteremo le opzioni terapeutiche più indicate per le tue necessità, spiegandoti vantaggi, rischi e alternative disponibili.
Puoi contattare lo studio dentistico Dentipiu.it per fissare un appuntamento e ricevere una valutazione personalizzata. La prima visita è fondamentale per costruire insieme un piano di trattamento su misura che rispetti le tue caratteristiche anatomiche, le tue condizioni di salute e le tue aspettative.
Ricorda: un sorriso sano e funzionale può durare tutta la vita con le giuste cure e l’attenzione preventiva. L’investimento in implantologia di qualità, eseguita da professionisti qualificati con materiali certificati, rappresenta un investimento nel tuo benessere a lungo termine.
Sommario:
- Cos’è l’Implantologia a Carico Immediato
- Carico Immediato vs Carico Differito: Le Differenze
- Le Fasi dell’Intervento di Carico Immediato
- Vantaggi dell’Implantologia a Carico Immediato
- Controindicazioni e Fattori di Rischio
- Rischi e Complicanze Possibili
- La Protesi Fissa a Carico Immediato
- Domande Frequenti sull’Implantologia a Carico Immediato
- Quanto dura un impianto a carico immediato?
- Posso mangiare subito dopo l’intervento di carico immediato?
- Qual è la differenza principale tra carico immediato e carico differito?
- Quando non è possibile fare il carico immediato?
- Il carico immediato è doloroso?
- Quanto costa un impianto a carico immediato?
- Quali sono le percentuali di successo del carico immediato?
- È meglio il carico immediato o quello differito?
- Conclusioni e Prossimi Passi
Domande frequenti
- Quanto dura un impianto a carico immediato?
- Un impianto dentale a carico immediato, se correttamente integrato e mantenuto con adeguata igiene orale, può durare tutta la vita del paziente. La letteratura scientifica riporta tassi di sopravvivenza superiori al 95% a 10 anni per gli impianti a carico immediato in pazienti sani. La durata dipende principalmente dalla salute generale del paziente, dall'igiene orale domiciliare e professionale, dal controllo di fattori di rischio come il fumo e da controlli periodici regolari.
- Posso mangiare subito dopo l'intervento di carico immediato?
- Sì, ma con alcune importanti precauzioni. Nelle prime 24 ore è consigliabile limitarsi a cibi freddi o a temperatura ambiente, morbidi e non masticabili, come gelati, yogurt, frullati e passati. Dalle 24 ore fino a circa tre settimane dall'intervento, è possibile masticare con cautela cibi morbidi evitando la zona operata. Dopo il primo mese, quando l'osteointegrazione è in fase avanzata, si può gradualmente reintrodurre una dieta normale.
- Qual è la differenza principale tra carico immediato e carico differito?
- La differenza fondamentale risiede nei tempi di applicazione della protesi. Nel carico immediato, la protesi provvisoria viene applicata entro 24-48 ore dall'inserimento degli impianti, permettendo al paziente un recupero estetico e funzionale immediato. Nel carico differito, si attende che avvenga la completa osteointegrazione (3-4 mesi) prima di caricare gli impianti con qualsiasi protesi. La scelta tra le due tecniche dipende dalla stabilità primaria ottenuta al momento dell'inserimento e dalle caratteristiche anatomiche del paziente.
- Quando non è possibile fare il carico immediato?
- Il carico immediato non è indicato quando non si riesce a ottenere una stabilità primaria adeguata al momento dell'inserimento degli impianti. Questo si verifica tipicamente in presenza di osso di scarsa densità, dopo innesti ossei recenti non ancora completamente consolidati, in pazienti con severo bruxismo non controllato, in fumatori accaniti che non intendono sospendere l'abitudine, in diabetici scompensati o in presenza di infezioni attive nella zona da trattare.
- Il carico immediato è doloroso?
- L'intervento di implantologia a carico immediato viene eseguito in anestesia locale, quindi durante la procedura chirurgica non si avverte alcun dolore. Nelle ore successive, quando l'effetto dell'anestesia svanisce, è normale avvertire un moderato fastidio o dolore nella zona operata, facilmente controllabile con comuni analgesici come paracetamolo o ibuprofene. La maggior parte dei pazienti riferisce un disagio post-operatorio inferiore alle aspettative. Gonfiore ed ecchimosi sono possibili ma generalmente lievi e si risolvono in pochi giorni.
- Quanto costa un impianto a carico immediato?
- Il costo di un trattamento implantare a carico immediato varia considerevolmente in base a numerosi fattori: il numero di impianti necessari, la complessità del caso clinico, la necessità di procedure rigenerative aggiuntive, il tipo di protesi scelta e la qualità dei materiali utilizzati. Per un singolo impianto con corona in ceramica, i costi possono variare da circa 1.500 a 3.000 euro. Per riabilitazioni complete di un'intera arcata con protesi fissa, i costi sono compresi generalmente tra 8.000 e 15.000 euro per arcata.
- Quali sono le percentuali di successo del carico immediato?
- Le percentuali di successo dell'implantologia a carico immediato sono molto elevate e sovrapponibili a quelle del carico differito quando vengono rispettati i corretti criteri di selezione del paziente. La letteratura scientifica internazionale riporta tassi di successo compresi tra il 95% e il 98% a 5 anni per i pazienti sani non fumatori. Questi dati confermano che, nei casi appropriati, il carico immediato rappresenta una tecnica predicibile e affidabile.
- È meglio il carico immediato o quello differito?
- Non esiste una tecnica universalmente superiore all'altra: entrambe hanno le proprie indicazioni specifiche. Il carico immediato è preferibile quando sussistono le condizioni anatomiche e cliniche appropriate, perché offre vantaggi in termini di tempi di trattamento ridotti, recupero estetico immediato e minor numero di interventi. Il carico differito rimane la scelta più conservativa e sicura in presenza di osso di scarsa qualità, quando non si ottiene adeguata stabilità primaria o in pazienti con fattori di rischio significativi. La decisione spetta al chirurgo dopo un'attenta valutazione del singolo caso.
Cerchi uno specialista?
Chirurgia Orale a Frosinone →Espansione di cresta, rialzo del seno mascellare, estrazioni complesse
Hai bisogno di un parere?
Prenota una visita nello studio del Dr. Bruschi a Frosinone. Prima visita con diagnosi completa e piano di trattamento personalizzato.
Stai valutando un impianto dentale?
Ho scritto una guida in 8 capitoli che spiega tutto quello che un paziente dovrebbe sapere prima di sedersi in poltrona. Niente marketing — solo fatti, casi studio e una checklist per fare le domande giuste.
Scarica la guidaResta aggiornato
Nuovi articoli su parodontologia, implantologia e chirurgia orale — nella tua casella email.
Commenti
Caricamento commenti...
Lascia un commento