Ma che vorrà mai dire “Shape Innovation”?

Dr. Ernesto Bruschi · · 4 min di lettura
Ma che vorrà mai dire “Shape Innovation”?

In breve — La “Shape Innovation” enfatizza come la macro- e micro-geometria implantare guidi la guarigione ossea. Spire aggressive in contatto diretto creano stabilità primaria, mentre solchi profondi favoriscono l’osteogenesi a distanza, combinando il meglio dei due meccanismi rigenerativi.

Summary (EN) — “Shape Innovation” emphasizes how implant macro- and micro-geometry guides bone healing. Aggressive threads in direct contact create primary stability, while deep grooves promote distance osteogenesis, combining the best of both regenerative mechanisms.

Il mito della superficie ruvida

Per anni, troppi anni, forse anche decenni. si è data troppa importanza al fatto che gli impianti con superficie ruvida sono più difficili da curare in caso di peri-implantite.

Questo è indubbiamente vero. Ma non tutti gli impianti sviluppano tale problematica, per fortuna. Se la sviluppano, probabilmente c’è un problema ab origine.

Tali problemi sono da sempre da ricercare tra i seguenti:

  • Posizionamento tridimensionale errato (per esempio impianti troppo vicini tra loro o con emergenza troppo vestibolarizzata).
  • Mucosa cheratinizzata insufficiente, al di sotto dei 2mm canonici.
  • Problemi protesici, come corone che invadono lo spazio biologico e cemento intrasulculare.
  • Precontatti occlusali.
  • Trazione dei fasci muscolari (frenuli).

In verità, l’ultimo fattore potrebbe cambiare nel corso del tempo, poiché la muscolatura del viso e masticatoria si può modificare e, spesso, tende a risalire verso la sommità delle arcate alveolari. Se cambia l’inserzione muscolare, si riduce anche la quota di mucosa cheratinizzata.

La forma guida la guarigione

Ma torniamo alla “Shape Innovation”.

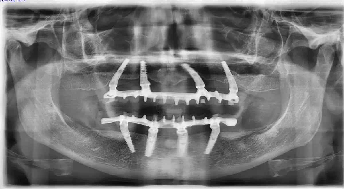
Si tratta dello slogan degli impianti Kalodon e intende riportare l’attenzione sull’importanza delle micro e macro-geometrie implantari. Infatti, l’ingegneria delle superfici si sta orientando sempre più su sabbiatura e mordenzatura acida per aumentare la superficie di contatto implantare, mentre le famigerate superfici macchinate (lisce) sono ormai poco rappresentate nel panorama implantare.

La forma (shape) guiderà la guarigione. Le micro-geometrie favoriranno la bagnabilità dell’impianto nelle prime fasi immediatamente dopo l’inserzione e modulano la vascolarizzazione del sito. Le macro-geometrie (spire, solchi, etc.) guidano la crescita dell’osso dall’osteotomia verso la superficie del titanio.

Gli impianti Kalodon, in particolare i Newton e i Zerocompromise, vogliono guidare la guarigione ossea con un abile intreccio tra contatto e “non-contatto” osseo. Le spire aggressive sono in diretto contatto con l’osteotomia e creano un forte legame per la stabilità primaria, mentre le zone di non contatto, rappresentate dai solchi a doppia elica (come il DNA) che si approfondiscono verso il centro delle fixture e favoriscono l’osteogenesi a distanza, descritta da Davies dell’università di Toronto. Il giusto equilibrio tra osteogenesi a distanza e osteogenesi da contatto consente di ottenere una grande stabilità iniziale, che consente il carico immediato e, nel contempo, un rapida ossificazione delle zone inizialmente vuote che impediscono lo slittamento dell’impianto durante le manovre protesiche, come spesso avviene con gli impianti troppo “lisci”.

C’è anche chi dice che l’osteogenesi a distanza non esiste (e poi tenta di copiare le tecniche di espansione, attribuendosene la paternità!). Altri dicono che non esiste Dio (ci mancherebbe, se sono agnostici). E altri ancora tentano di dimostrare che la terra è piatta.

Ma ognuno deve essere libero di esprimere le proprie idee.

“Non condivido la tua idea, ma darei la vita perché tu la possa esprimere.”

Evelyn Beatrice Hall

Le camere di coagulo e l’implantologia rigenerativa

La nostra idea è che l’osteogenesi a distanza, favorita da fosse e solchi profondi che intersecano le doppie spire aggressive e che un amico caro chiama “camere di coagulo” (perché questo sono), rappresentano un ausilio fondamentale nella moderna implantologia e ancor più nell’implantologia rigenerativa.

Domande frequenti

Cosa si intende per “Shape Innovation”? È lo slogan Kalodon che ribadisce l’importanza della macro e micro-geometria implantare nel guidare la guarigione ossea. Non è la superficie liscia che decide il successo, ma la forma tridimensionale che orchestrerà il rimodellamento osseo.

Quali sono i rischi reali della peri-implantite negli impianti a superficie ruvida? Il rischio è stato enfatizzato eccessivamente negli ultimi decenni. La peri-implantite si sviluppa per fattori ab origine: posizionamento errato, mucosa cheratinizzata insufficiente, problemi protesici, precontatti occlusali. Non per la semplice rugosità della superficie.

Che differenza c’è tra osteogenesi da contatto e osteogenesi a distanza? L’osteogenesi da contatto avviene dove l’impianto tocca l’osso (spire aggressive). L’osteogenesi a distanza avviene nei “vuoti” creati dai solchi profondi, dove il sangue si coagula e le cellule colonizzano il sito dai bordi. I due meccanismi insieme garantiscono ossificazione rapida e completa.

I solchi profondi e le “camere di coagulo” sono veramente necessari? Sì. Le camere di coagulo facilitano la formazione del coagulo di fibrina che serve da matrice biologica naturale per la rigenerazione ossea. Questo è il motivo per cui design con solchi profondi mostrano risultati superiori nella pratica clinica.

Domande frequenti

Cosa si intende per "Shape Innovation"?
È lo slogan Kalodon che ribadisce l'importanza della macro e micro-geometria implantare nel guidare la guarigione ossea. Non è la superficie liscia che decide il successo, ma la forma tridimensionale che orchestrerà il rimodellamento osseo.
Quali sono i rischi reali della peri-implantite negli impianti a superficie ruvida?
Il rischio è stato enfatizzato eccessivamente negli ultimi decenni. La peri-implantite si sviluppa per fattori ab origine: posizionamento errato, mucosa cheratinizzata insufficiente, problemi protesici, precontatti occlusali. Non per la semplice rugosità della superficie.
Che differenza c'è tra osteogenesi da contatto e osteogenesi a distanza?
L'osteogenesi da contatto avviene dove l'impianto tocca l'osso (spire aggressive). L'osteogenesi a distanza avviene nei "vuoti" creati dai solchi profondi, dove il sangue si coagula e le cellule colonizzano il sito dai bordi. I due meccanismi insieme garantiscono ossificazione rapida e completa.
I solchi profondi e le "camere di coagulo" sono veramente necessari?
Sì. Le camere di coagulo facilitano la formazione del coagulo di fibrina che serve da matrice biologica naturale per la rigenerazione ossea. Questo è il motivo per cui design con solchi profondi mostrano risultati superiori nella pratica clinica.

Cerchi uno specialista?

Chirurgia Orale a Frosinone →

Espansione di cresta, rialzo del seno mascellare, estrazioni complesse

Hai bisogno di un parere?

Prenota una visita nello studio del Dr. Bruschi a Frosinone. Prima visita con diagnosi completa e piano di trattamento personalizzato.

Oppure scrivici dal form contatti →

Stai valutando un impianto dentale?

Ho scritto una guida in 8 capitoli che spiega tutto quello che un paziente dovrebbe sapere prima di sedersi in poltrona. Niente marketing — solo fatti, casi studio e una checklist per fare le domande giuste.

Scarica la guida
Condividi:

Resta aggiornato

Nuovi articoli su parodontologia, implantologia e chirurgia orale — nella tua casella email.

Commenti

Caricamento commenti...

Lascia un commento

I commenti sono moderati prima della pubblicazione.