Quando occorre un innesto gengivale e quando no?

Dr. Ernesto Bruschi · · Aggiornato il · 6 min di lettura
Quando occorre un innesto gengivale e quando no?

In breve — L’innesto gengivale non è solo estetica: protegge i denti dalla recessione progressiva, risolve l’ipersensibilità dentinale e ripristina il “muro di cinta” biologico perduto. La regola storica dei 2mm è superata, ma pazienti con scarsa igiene domiciliare traggono beneficio dalla gengiva cheratinizzata.

Summary (EN) — Gingival grafting is not just cosmetics: it protects teeth from progressive recession, resolves dentin sensitivity, and restores lost biological protection. The historical 2mm rule is outdated, but patients with poor home care benefit from keratinized gingiva.

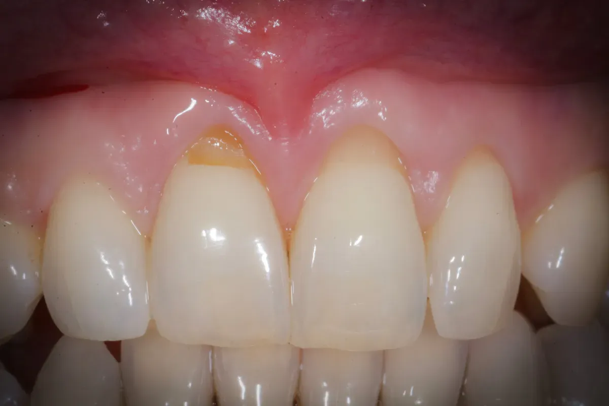
Questo tipo di trattamento è spesso frainteso come avente un’esclusiva finalità estetica. Certamente può averla, ma più spesso la motivazione è quella di impedire l’aggravarsi della condizione clinica parodontale, e altre ancora.

La regola dei due millimetri

Storicamente, si considerava insufficiente per il mantenimento della salute parodontale una banda di gengiva aderente (la gengiva cheratinizzata compresa tra il fondo del solco o della tasca gengivale e la linea mucogengivale) al di sotto dei due millimetri. Questa misura empirica si basava sulle osservazioni cliniche di eccellenti parodontologi, specialmente nordamericani. La logica alla base di questa convinzione clinica è che il tessuto connettivo spesso ha la capacità di difendere i denti dalle aggressioni batteriche, chimiche e meccaniche.

Gli studi degli anni ‘80

Gli studi che si sono susseguiti dagli anni ottanta in poi hanno messo in discussione questa regola, evidenziando che in alcuni pazienti la salute è mantenibile anche con una banda di gengiva aderente estremamente ridotta, ma esclusivamente dai pazienti che praticano un’igiene orale domiciliare atraumatica e costante.

Tuttavia, gli individui le cui pratiche di igiene orale sono meno che ottimali possono essere aiutati nel mantenimento igienico dalla presenza di gengiva cheratinizzata e dalla profondità del vestibolo. La profondità del vestibolo fornisce spazio per un più facile posizionamento dello spazzolino da denti e impedisce di graffiare il sensibile tessuto mucoso.

Gli studi recenti

Altre ricerche suggeriscono che i difetti di recessione gengivale sono progressivi.

  • Uno studio longitudinale con follow-up di 12 anni dimostra che la recessione gengivale aumenta con l’età e i siti che già hanno recessione sono a maggior rischio di aggravamento.
  • In uno studio retrospettivo di follow-up da 10 a 27 anni con metodica “split-mouth”, i difetti di recessione gengivale trattata con innesto gengivale libero su un lato della bocca, sono stati confrontati con siti controlaterali non trattati. I risultati hanno dimostrato che il trattamento era efficace, poiché tutti i siti trattati hanno mostrato una ridotta recessione gengivale e un aumento della gengiva cheratinizzata stabile. Al contrario, i siti non trattati hanno mostrato un peggioramento significativo durante il periodo di follow-up.

Alcuni dati indicano che la gengiva cheratinizzata ha un ruolo protettivo, come è logico pensare. La correzione chirurgica di questi difetti tramite aumento del tessuto connettivo e la copertura delle radici appare come un importante intervento da considerare nei pazienti con tale problematica.

Le altre indicazioni

Inoltre, esistono altre indicazioni importanti per la copertura radicolare:

  • Spesso, i denti con recessioni hanno una ipersensibilità dentinale, che può diventare debilitante e la copertura radicolare risolve tale situazione.
  • I difetti di abrasione o affrazione del colletto cervicale dei denti (che solitamente accompagnano le recessioni) sono spesso trattati in modo più corretto con una copertura radicolare piuttosto che con una ricostruzione del colletto stesso, che, peraltro, potrebbe aggravare la recessione gengivale.
  • In caso di programmazione di trattamento ortodontico che preveda la vestibolarizzazione di denti con recessioni già esistenti.
  • In caso di inserzioni di frenuli (fibre muscolari) particolarmente vicine al margine gengivale, particolarmente se lo mobilizzano durante la funzione.

In ultima analisi, la situazione deve essere analizzata caso per caso e le attitudini di mantenimento domiciliare del paziente devono essere sempre considerate nell’ambito del processo decisionale.

Qualora si decida di intervenire, il trattamento con aumento del tessuto connettivo del paziente stesso (innesto autologo) è in grado di ripristinare quasi sempre i fisiologici volumi di gengiva cheratinizzata e, così, di proteggere i denti coinvolti a lunghissimo termine con un’efficacissimo “muro di cinta”.

Se di decide solo di monitorare la situazione nel tempo, è bene che il paziente sia molto attento nelle procedure di igiene domiciliari e preciso nel rispettare le scadende dei richiami d’igiene.

L’importanza della mucosa cheratinizzata (gengiva aderente sui denti)

La mucosa cheratinizzata è fondamentale per la salute degli impianti. Gli impianti, tuttavia, hanno caratteristiche biologiche molto diverse rispetto ai denti naturali, ed è quindi necessario intervenire sempre per aumentare la quota cheratinizzata sostenuta dal tessuto connettivo denso durante le manovre chirurgiche.

Cosa c’entra l’innesto gengivale con il concetto di “Rigenerazione Su Misura”?

Ne è parte integrante. La chirurgia gengivale, in particolare, appunto, gli innesti, permettono di mantenere i denti anche in un ambito di terapia con impianti per sostituire alcuni denti mancanti. Le due cose sono simultanee e complementari.

È chiaro, quindi, che questa procedura rappresenta un tassello fondamentale del Metodo Bonebenders.

Domande frequenti

La “regola dei 2 millimetri” di gengiva cheratinizzata è ancora valida?

No. Gli studi dagli anni ‘80 in poi hanno dimostrato che pazienti con igiene orale atraumatica e costante mantengono la salute anche con gengiva aderente minimale. Tuttavia, chi non pratica igiene domiciliare ottimale trae beneficio da >2 mm di gengiva cheratinizzata, che fornisce spazio per il posizionamento dello spazzolino e impedisce traumi ai tessuti molli.

Le recessioni gengivali sono progressive se non trattate?

Sì. Studi longitudinali a 12-27 anni dimostrano che difetti di recessione non trattati si aggravano nel tempo, mentre siti trattati con innesto gengivale libero mantengono la gengiva cheratinizzata guadagnata e mostrano recessioni significativamente ridotte rispetto ai siti controlaterali non trattati.

Oltre all’estetica, quali altri benefici porta l’innesto gengivale?

Risolve l’ipersensibilità dentinale causata dall’esposizione radicolare, corregge difetti di abrasione/affrazione del colletto cervicale in modo più efficace della semplice ricostruzione, prepara il terreno per trattamenti ortodontici vestibolarizzanti, e gestisce inserzioni di frenuli troppo alte che mobilizzano il margine gengivale.

Cos’è un innesto connettivale autologo e come funziona?

Consiste nel prelevare tessuto connettivo dal palato del paziente e innestarlo nella zona di recessione. Ripristina i fisiologici volumi di gengiva cheratinizzata, creando un “muro di cinta” protettivo stabile nel tempo. È il gold standard perché biologicamente compatibile e offre risultati duraturi a lunghissimo termine.

Perché la gengiva cheratinizzata è importante attorno agli impianti?

Gli impianti, diversamente dai denti naturali, hanno caratteristiche biologiche diverse e richiedono SEMPRE un aumento di tessuto cheratinizzato denso. Durante la chirurgia implantare, è fondamentale aggiungere gengiva cheratinizzata se insufficiente, garantendo una protezione biologica dell’interfaccia osso-impianto.

Sommario:

  1. La regola dei due millimetri
  2. Gli studi degli anni ‘80
  3. Gli studi recenti
  4. Le altre indicazioni
  5. L’innesto connettivale autologo
  6. L’importanza della mucosa cheratinizzata (gengiva aderente sui denti)
  7. Cosa c’entra l’innesto gengivale con il concetto di “Rigenerazione Su Misura”?

Domande frequenti

La "regola dei 2 millimetri" di gengiva cheratinizzata è ancora valida?
No. Gli studi dagli anni '80 in poi hanno dimostrato che pazienti con igiene orale atraumatica e costante mantengono la salute anche con gengiva aderente minimale. Tuttavia, chi non pratica igiene domiciliare ottimale trae beneficio da >2 mm di gengiva cheratinizzata, che fornisce spazio per il posizionamento dello spazzolino e impedisce traumi ai tessuti molli.
Le recessioni gengivali sono progressive se non trattate?
Sì. Studi longitudinali a 12-27 anni dimostrano che difetti di recessione non trattati si aggravano nel tempo, mentre siti trattati con innesto gengivale libero mantengono la gengiva cheratinizzata guadagnata e mostrano recessioni significativamente ridotte rispetto ai siti controlaterali non trattati.
Oltre all'estetica, quali altri benefici porta l'innesto gengivale?
Risolve l'ipersensibilità dentinale causata dall'esposizione radicolare, corregge difetti di abrasione/affrazione del colletto cervicale in modo più efficace della semplice ricostruzione, prepara il terreno per trattamenti ortodontici vestibolarizzanti, e gestisce inserzioni di frenuli troppo alte che mobilizzano il margine gengivale.
Cos'è un innesto connettivale autologo e come funziona?
Consiste nel prelevare tessuto connettivo dal palato del paziente e innestarlo nella zona di recessione. Ripristina i fisiologici volumi di gengiva cheratinizzata, creando un "muro di cinta" protettivo stabile nel tempo. È il gold standard perché biologicamente compatibile e offre risultati duraturi a lunghissimo termine.
Perché la gengiva cheratinizzata è importante attorno agli impianti?
Gli impianti, diversamente dai denti naturali, hanno caratteristiche biologiche diverse e richiedono SEMPRE un aumento di tessuto cheratinizzato denso. Durante la chirurgia implantare, è fondamentale aggiungere gengiva cheratinizzata se insufficiente, garantendo una protezione biologica dell'interfaccia osso-impianto. Sommario: 1. La regola dei due millimetri 2. Gli studi degli anni '80 3. Gli studi recenti 4. Le altre indicazioni 5. L'innesto connettivale autologo 6. L'importanza della mucosa cheratinizzata (gengiva aderente sui denti) 7. Cosa c'entra l'innesto gengivale con il concetto di "Rigenerazione Su Misura"?

Cerchi uno specialista?

Parodontologia a Frosinone →

Diagnosi e trattamento della parodontite nello Studio Denti Più

Hai bisogno di un parere?

Prenota una visita nello studio del Dr. Bruschi a Frosinone. Prima visita con diagnosi completa e piano di trattamento personalizzato.

Oppure scrivici dal form contatti →

Condividi:

Resta aggiornato

Nuovi articoli su parodontologia, implantologia e chirurgia orale — nella tua casella email.

Commenti

Caricamento commenti...

Lascia un commento

I commenti sono moderati prima della pubblicazione.